DENTAL ACADEMY
治療全般
大人の矯正
子供の矯正
大人の症例
子供の症例
ホワイトニング/クリーニング
セラミック治療
ダイレクトボンディング
自費義歯
治療全般
大人の矯正
子供の矯正
大人の症例
子供の症例
ホワイトニング/クリーニング
セラミック治療
ダイレクトボンディング
自費義歯
ホーム
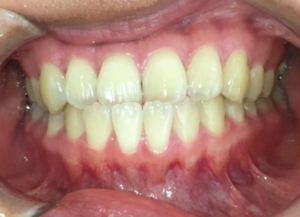
反対咬合
反対咬合の記事一覧
大人の症例
インビザライン治療 症例
2023.11.06
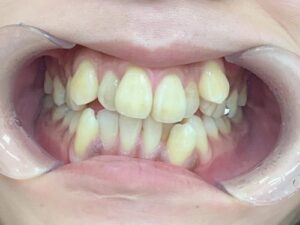
大人の症例
インビザライン治療 症例
2023.10.23
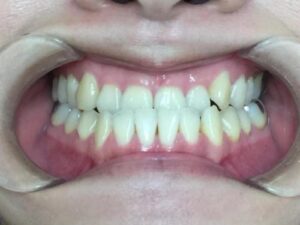
大人の症例
インビザライン治療 症例
2023.07.25
大人の症例
インビザラインGO治療 症例
2023.03.07
子供の症例
小児矯正 症例
2023.01.18
タグ
口蓋側転移
(3)
反対咬合
(5)
八重歯
(11)
クロスバイト
(2)
叢生
(86)
矯正
(105)
切端咬合
(3)
義歯
(2)
顎関節症
(4)
先天性欠損
(3)
正中離開
(2)
上顎前突
(17)
過蓋咬合
(10)
歯周病
(1)
捻転
(9)
上下顎前突
(3)
交叉咬合
(8)
出っ歯
(6)
翼状捻転
(3)
すきっ歯
(3)
pickup
(34)
人気記事ランキング
まだデータがありません。
治療全般
大人の矯正
子供の矯正
大人の症例
子供の症例
ホワイトニング/クリーニング
セラミック治療
ダイレクトボンディング
自費義歯