笑顔美人のための情報サイト
DENTAL ACADEMY
治療全般
大人の矯正
子供の矯正
大人の症例
子供の症例
ホワイトニング/クリーニング
セラミック治療
ダイレクトボンディング
自費義歯
治療全般
大人の矯正
子供の矯正
大人の症例
子供の症例
ホワイトニング/クリーニング
セラミック治療
ダイレクトボンディング
自費義歯
治療全般
大人の矯正
子供の矯正
大人の症例
子供の症例
ホワイトニング/クリーニング
セラミック治療
ダイレクトボンディング
自費義歯
オススメ
歯周病と健康の関連性
2024.03.18
治療全般
歯周病 歯磨き粉や歯ブラシのCMなどで良く耳にする【歯周病】ですが、その原因や体に及ぼす影響についてご存知ですか?実は歯周病と全身疾患との関連性については、以前より考えられていまし...
治療全般
保定アライナーについて
2023.12.22
治療全般
歯周病と健康の関連性
2024.03.18
治療全般
お子様のマイオブレース矯正について
2024.02.19
治療全般
インビザライン矯正の利便性
2023.09.25
治療全般
乳歯の歯並びで将来の歯並びが分かる!?
2023.06.20
治療全般
生まれつきある歯の異常について
2023.06.30
大人の矯正
フッ素とは
2023.04.17
治療全般
矯正は早く始めた方が良い?
2024.01.31
新着情報
治療全般
歯周病と健康の関連性
2024.03.18
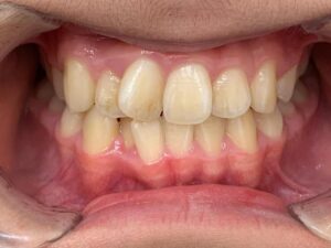
大人の症例
インビザライン治療 症例
2024.02.20
治療全般
お子様のマイオブレース矯正について
2024.02.19
ホワイトニング/クリーニング
ホワイトニング 症例
2024.02.17
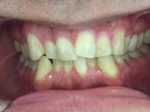
大人の症例
インビザライン治療 症例
2024.02.17
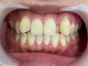
大人の症例
インビザライン治療 症例
2024.02.17
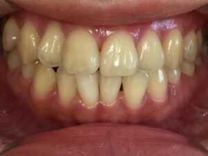
大人の症例
インビザライン治療 症例
2024.02.17
大人の症例
インビザライン治療 症例
2024.02.17
タグ
すきっ歯
(3)
交叉咬合
(8)
歯周病
(1)
捻転
(9)
矯正
(105)
正中離開
(2)
上顎前突
(17)
口蓋側転移
(3)
切端咬合
(3)
八重歯
(11)
出っ歯
(6)
義歯
(2)
先天性欠損
(3)
pickup
(34)
叢生
(86)
顎関節症
(4)
翼状捻転
(3)
過蓋咬合
(10)
反対咬合
(5)
上下顎前突
(3)
クロスバイト
(2)
人気記事ランキング
まだデータがありません。
治療全般
大人の矯正
子供の矯正
大人の症例
子供の症例
ホワイトニング/クリーニング
セラミック治療
ダイレクトボンディング
自費義歯