DENTAL ACADEMY
治療全般
大人の矯正
子供の矯正
大人の症例
子供の症例
ホワイトニング/クリーニング
セラミック治療
ダイレクトボンディング
自費義歯
治療全般
大人の矯正
子供の矯正
大人の症例
子供の症例
ホワイトニング/クリーニング
セラミック治療
ダイレクトボンディング
自費義歯
ホーム
出っ歯
出っ歯の記事一覧
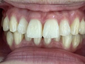
大人の症例
インビザライン治療 症例
2023.04.05
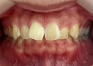
大人の症例
インビザライン治療 症例
2023.03.24
大人の症例
インビザライン治療 症例
2023.03.17
大人の症例
インビザライン治療 症例
2023.03.08
大人の症例
インビザライン治療 症例
2022.11.28
大人の症例
インビザライン治療 症例
2022.11.24
タグ
翼状捻転
(3)
矯正
(105)
出っ歯
(6)
顎関節症
(4)
上下顎前突
(3)
上顎前突
(17)
クロスバイト
(2)
交叉咬合
(8)
先天性欠損
(3)
すきっ歯
(3)
口蓋側転移
(3)
反対咬合
(5)
正中離開
(2)
pickup
(34)
義歯
(2)
切端咬合
(3)
歯周病
(1)
過蓋咬合
(10)
叢生
(86)
八重歯
(11)
捻転
(9)
人気記事ランキング
まだデータがありません。
治療全般
大人の矯正
子供の矯正
大人の症例
子供の症例
ホワイトニング/クリーニング
セラミック治療
ダイレクトボンディング
自費義歯