DENTAL ACADEMY
治療全般
大人の矯正
子供の矯正
大人の症例
子供の症例
ホワイトニング/クリーニング
セラミック治療
ダイレクトボンディング
自費義歯
治療全般
大人の矯正
子供の矯正
大人の症例
子供の症例
ホワイトニング/クリーニング
セラミック治療
ダイレクトボンディング
自費義歯
ホーム
先天性欠損
先天性欠損の記事一覧
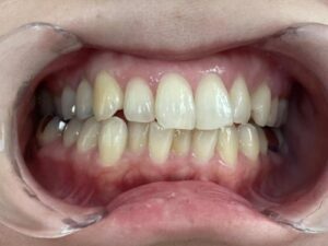
大人の症例
インビザライン治療 症例
2023.09.22
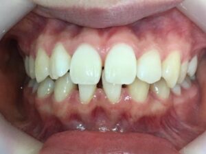
大人の症例
インビザライン治療 症例
2023.09.06
大人の症例
インビザライン治療 症例
2023.04.05
タグ
上下顎前突
(3)
八重歯
(11)
歯周病
(1)
翼状捻転
(3)
上顎前突
(17)
すきっ歯
(3)
クロスバイト
(2)
叢生
(86)
交叉咬合
(8)
過蓋咬合
(10)
正中離開
(2)
出っ歯
(6)
顎関節症
(4)
先天性欠損
(3)
捻転
(9)
口蓋側転移
(3)
反対咬合
(5)
pickup
(34)
矯正
(105)
義歯
(2)
切端咬合
(3)
人気記事ランキング
まだデータがありません。
治療全般
大人の矯正
子供の矯正
大人の症例
子供の症例
ホワイトニング/クリーニング
セラミック治療
ダイレクトボンディング
自費義歯