DENTAL ACADEMY
治療全般
大人の矯正
子供の矯正
大人の症例
子供の症例
ホワイトニング/クリーニング
セラミック治療
ダイレクトボンディング
自費義歯
治療全般
大人の矯正
子供の矯正
大人の症例
子供の症例
ホワイトニング/クリーニング
セラミック治療
ダイレクトボンディング
自費義歯
ホーム
セラミック治療
セラミック治療
セラミック治療
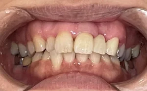
セラミック 症例
2023.07.15
セラミック治療
インビザライン矯正と自費補綴 症例
2023.05.16
セラミック治療
インビザラインGO・セラミック治療 症例
2023.04.26
タグ
義歯
(2)
叢生
(86)
先天性欠損
(3)
交叉咬合
(8)
出っ歯
(6)
クロスバイト
(2)
翼状捻転
(3)
捻転
(9)
矯正
(105)
口蓋側転移
(3)
八重歯
(11)
上顎前突
(17)
上下顎前突
(3)
反対咬合
(5)
切端咬合
(3)
正中離開
(2)
顎関節症
(4)
すきっ歯
(3)
pickup
(34)
過蓋咬合
(10)
歯周病
(1)
人気記事ランキング
まだデータがありません。
治療全般
大人の矯正
子供の矯正
大人の症例
子供の症例
ホワイトニング/クリーニング
セラミック治療
ダイレクトボンディング
自費義歯