
20代女性「ガタガタの歯並びが気になる」複雑な歯の生え方に適したマウスピース型矯正装置「インビザラインフル」で重なりのないきれいな口元に改善した症例


ご相談内容
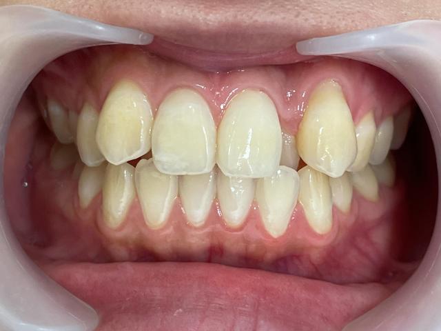
「ガタガタの歯並びが気になる」とご相談いただきました。
カウンセリング・診断結果
拝見したところ、上の前歯は重なってガタガタに並んでいる「叢生(そうせい)」でした。
上の左右前歯2本(側切歯/2番)は、前から口元を見た時にほぼ歯が見えないくらい内側に生えている「口蓋側転移(こうがいそくてんい)」の状態でした。
そのため、噛み合わせた時に上の左右側切歯よりも、下前歯の方が前で噛んでしまう「交叉咬合」にもなっていました。
行ったご提案・治療内容
取り外し式のマウスピース型矯正装置「インビザラインフル」での治療をご提案しました。
インビザラインフルは全体的に歯を動かせるため、叢生などの複雑な歯並びの治療に適しています。
また、歯が並ぶスペースを作るために、上左右の歯2本(第1小臼歯/4番)の抜歯を行うことも併せてご説明し、同意をいただきました。
治療の際は、歯並びを整えるだけでなく、噛み合わせる位置にも十分に注意を払いました。
術後の経過・現在のご様子
上左右の側切歯は、しっかり前に出てきれいな並びになり、噛み合わせも正常になりました。
患者様には「少ない来院回数で、ここまできれいに治療を終えることができて良かった」と大変ご満足いただけました。
現在は、定期的なメンテナンスでご来院された際に、歯並びの経過確認を行っています。
この治療のリスクについて
・決められたアライナーの装着時間を守らないと、次のアライナーに交換できず、治療が遅れたり十分な効果が得られない場合があります。
・歯を抜いた後に矯正する場合や、あごの骨格に問題がある場合など、マウスピース矯正に対応していない症例は、治療が困難な可能性もあります。
・治療による歯の移動に伴って、痛みや違和感を感じる場合があります。
・他の矯正治療と同様に、正しく歯磨きやメンテナンスを行わないと虫歯や歯周病のリスクが高まります。
- 年齢・性別20代女性
- 診療種別自由診療
- 矯正治療期間の目安2年2か月
治療費総額の目安矯正:715,000円
- 矯正治療期間の目安2年2か月


※掲載された情報は治療の効果を保証するものではありません。
ご利用により万一何らかの損害が発生したとしても、当サイトは一切責任を負いかねますのでご了承ください。








