
マイオブレース
大人の矯正がある一方で小児矯正とよばれる子供の頃におこなう矯正治療もあります。
そのうちのひとつがマイオブレースです。
マイオブレースは簡単に説明すると悪い癖を治していく矯正治療です。
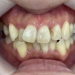
口呼吸や指しゃぶりなどは歯並びを悪くさせてしまう悪い習慣のひとつです。
悪い癖が習慣化してしまうことで十分に歯列が成長できず、大人の歯が生えてくるスペースが確保されないことで叢生(そうせい)などのガタガタの歯並びになってしまいます。
しかし裏をかえせば悪い習慣を直して正しい習慣を身につけることができれば、小さいお子様の歯並びは改善します。
それを叶えてくれるのがマイオブレースです。
マイオブレースはマウスピース型の矯正器具でワイヤー矯正と違い常に装着する必要もなく、痛みもありません。
悪い癖をなおして正しいお口の状態に戻してあげる、それがマイオブレース矯正です。
もちろんお子様の歯の状態を見させていただいてからの矯正治療になりますので、ぜひお気軽にお電話おまちしております。









