
30代女性「歯の黄ばみで顔がくすんで見える」2種類のホワイトニングを併用する「デュアルホワイトニング」で口元から顔の印象を明るくした症例


ご相談内容
「化粧する時に歯が黄ばんでいるため顔がくすんで見える。美容室感覚で歯を白くしたい」とご来院されました。
カウンセリング・診断結果
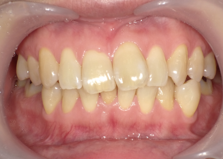
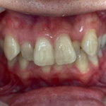
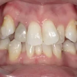
拝見したところ、全体的に歯に黄ばみが見られました。
特に笑った時に見える前歯は、黄色味が目立っていました。
行ったご提案・治療内容
最初に、患者様と目標とする歯の色を相談しました。
次に、ホワイトニングの種類についてご説明しました。
ホワイトニングには、歯科医院で行う「オフィスホワイトニング」、ご自宅で行う「ホームホワイトニング」、2つを併用する「デュアルホワイトニング」の3種類があります。
患者様の理想の白さにするためには、デュアルホワイトニングが適していることをご説明し、同意いただきました。
まず即効性のあるオフィスホワイトニングを定期的に行い、全体的に歯のトーンアップを行いました。
そして、白さを持続しながら効果を高めるホームホワイトニングもご自宅で行っていただきました。
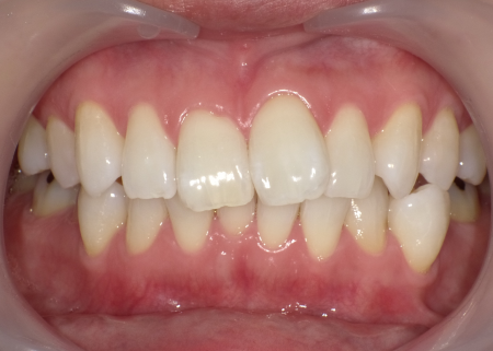
術後の経過・現在のご様子
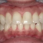
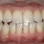
全体的に黄ばみが改善され、明るい口元になりました。
患者様には「笑顔が増えて、鏡を見るのが楽しくなった」と大変喜んでいただけました。
現在も白さを維持するために、定期的にホワイトニングを行いにご来院されています。
この治療のリスクについて
個人差がありますが、治療中や治療後に歯がしみる場合があります。
- 年齢・性別30代女性
- 診療種別自由診療
- 治療期間の目安2ヶ月
- 《内訳》
- デュアルホワイトニング 98,000円
- 治療期間の目安2ヶ月
※掲載された情報は治療の効果を保証するものではありません。
ご利用により万一何らかの損害が発生したとしても、当サイトは一切責任を負いかねますのでご了承ください。








