
10代男性「ガタガタの歯並びが気になる」マウスピース型矯正装置「インビザラインフル」で成長を考慮しながら歯並びをきれいにした症例


ご相談内容
「ガタガタの歯並びが気になる」とご相談いただきました。
カウンセリング・診断結果
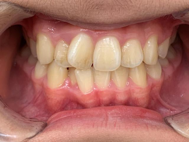
拝見したところ、上下前歯はガタガタと重なって生えている「叢生(そうせい)」の状態でした。
また、上の前歯2本(中切歯/1番)には捻じれて生える「捻転(ねんてん)」も見られました。
叢生や捻転部分は見た目だけでなく、歯ブラシが当たりにくいことから、虫歯や歯肉炎のリスクがあるため、治療が必要と診断しました。
行ったご提案・治療内容
取り外し式のマウスピース型矯正装置「インビザラインフル」での治療をご提案しました。
インビザラインフルは全体的に歯を動かせるため、叢生などの複雑な歯並びの治療も可能で、状態によって柔軟に治療計画の変更を行うことができるようになっています。
患者様は10代のため、成長を考えながら細心の注意を払い、歯並びの治療を行いました。
術後の経過・現在のご様子
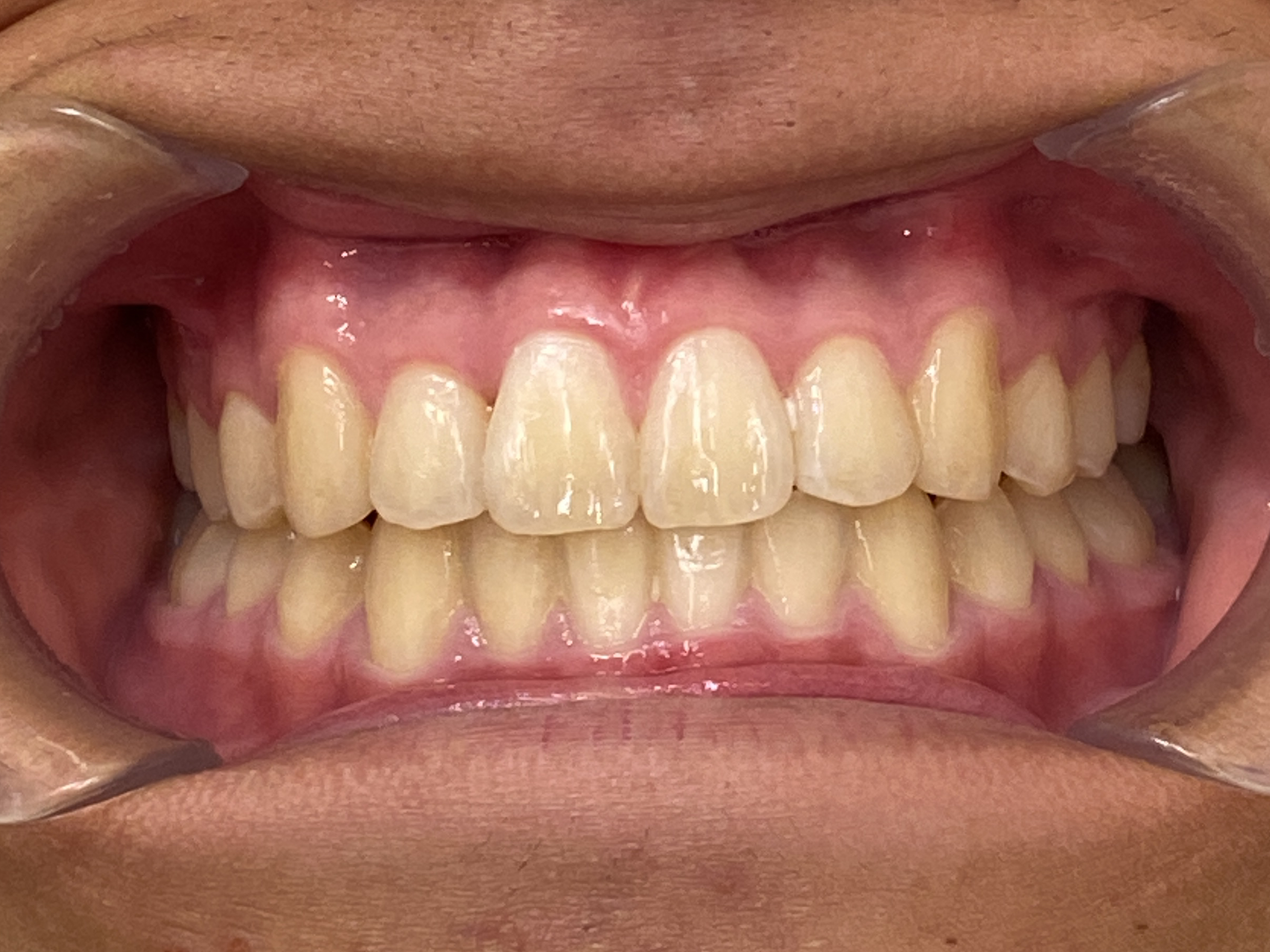
重なりや捻れがなくなり、きれいな歯並びになりました。
患者様には「想像していたより短期間で治って良かった」と大変喜んでいただけました。
現在は、定期的にメンテナンスでご来院され、歯並びの経過確認を行っています。
この治療のリスクについて
・決められたアライナーの装着時間を守らないと、次のアライナーに交換できず、治療が遅れたり十分な効果が得られない場合があります。
・歯を抜いた後に矯正する場合や、あごの骨格に問題がある場合など、マウスピース矯正に対応していない症例は、治療が困難な可能性もあります。
・治療による歯の移動に伴って、痛みや違和感を感じる場合があります。
・他の矯正治療と同様に、正しく歯磨きやメンテナンスを行わないと虫歯や歯周病のリスクが高まります。
- 年齢・性別10代男性
- 診療種別自由診療
- 矯正治療期間の目安2年
治療費総額の目安矯正:720,000円
- 矯正治療期間の目安2年


※掲載された情報は治療の効果を保証するものではありません。
ご利用により万一何らかの損害が発生したとしても、当サイトは一切責任を負いかねますのでご了承ください。








