インビザライン治療 症例

30代女性「歯並びがガタガタしている」歯が大きく重なり合った「叢生」を「インビザラインフル」を使用したマウスピース矯正で歯を抜かずに治療した症例

ご相談内容

「ガタガタの歯並びを治したい。結婚式があるのでそれまでにきれいに整えたい」とご相談いただきました。

カウンセリング・診断結果

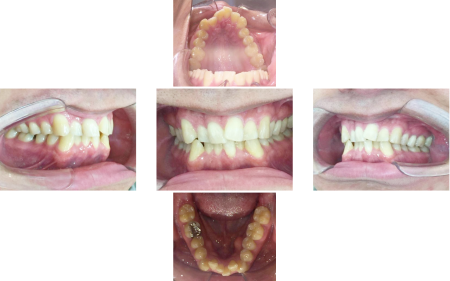
拝見したところ、歯が正常な位置からずれて重なり合って生えている「叢生(そうせい)」が上下の前歯を中心に認められました。

叢生を治療する場合、歯をきれいに並べるスペースを確保するため、抜歯が必要になる場合があります。
患者様にそのことを説明しご希望をお伺いすると「できれば歯を抜かずに治療したい」とお話しいただきました。

行ったご提案・治療内容

取り外し式のマウスピース型矯正装置「インビザラインフル」で歯並びを整える治療をご提案しました。
インビザラインフルは奥歯を含めたすべての歯をしっかりと動かすことができ、歯を抜かずに十分なスペースを確保することが可能です。

治療に同意いただき、まずは患者様専用のマウスピースを作製しました。
出来上がったマウスピースを歯磨きと食事の時以外はご使用いただくようお伝えし、定期的にマウスピースを交換することで歯を動かしていきました。

術後の経過・現在のご様子

歯が適切な位置にまっすぐ並び、自然な口元になりました。
矯正治療中に、歯を白くする「ホワイトニング」や右下の銀歯の交換も同時に行ったことで、より明るく美しい歯並びになっています。
患者様も「歯並びも歯の色もきれいになり、結婚式にも間に合って嬉しい」と非常に喜ばれていました。

現在も定期的なメンテナンスでご通院いただいています。

この治療のリスクについて

・決められたアライナーの装着時間を守らないと、次のアライナーに交換できず、治療が遅れたり十分な効果が得られない場合があります。
・歯を抜いた後に矯正する場合や、あごの骨格に問題がある場合など、マウスピース矯正に対応していない症例は、治療が困難な可能性もあります。
・治療による歯の移動に伴って、痛みや違和感を感じる場合があります。
・他の矯正治療と同様に、正しく歯磨きやメンテナンスを行わないと虫歯や歯周病のリスクが高まります。

  1. 年齢・性別30代女性
  2. 診療種別自由診療
    1. 矯正治療期間の目安1年7か月
      治療費総額の目安矯正:685,000円

※掲載された情報は治療の効果を保証するものではありません。
ご利用により万一何らかの損害が発生したとしても、当サイトは一切責任を負いかねますのでご了承ください。

PC・スマホでかんたんインターネット予約
三井アウトレットパークバス停徒歩5分 本院ご予約
高速出口すぐそばのショッピングモール内 大曲医院ご予約
札幌中心街、チカホから直結のmoyuk2F moyuk Sapporo院ご予約
オススメの関連記事