
50代女性「噛み合わせが反対で位置もずれている」噛み合わせの不具合と歯並びの乱れを「インビザラインフル」を用いたマウスピース矯正で改善した症例


ご相談内容
「前歯の噛み合わせが反対になっていて、上下の歯並びの中心も合っていない」とご相談いただきました。
カウンセリング・診断結果
拝見したところ、噛んだときに下の前歯が上の前歯より前に出る「反対咬合(はんたいこうごう)」と、歯が捻じれたり傾いたりしてでこぼこに生えている「叢生(そうせい)」が認められ、上下の歯並びの中心である「正中」にもズレが生じていました。
歯並びや噛み合わせの不具合は一部の歯に負担をかけ、将来的な寿命を短くする可能性があります。虫歯や歯周病などのリスクも高まっていたため、治療が必要な状態でした。
また、患者様は右下の奥歯(第1大臼歯/6番)の手前側半分が欠損しており、両隣の歯を削って橋渡しのように歯を補う「ブリッジ」で治療されていました。
行ったご提案・治療内容
取り外し式のマウスピース型矯正装置「インビザラインフル」で歯並びと噛み合わせを改善する治療をご提案しました。
インビザラインにはいくつかの種類があり、患者様の歯並びやお悩みに合わせて選択されます。今回は奥歯からしっかりと動かして上下の正中を一致させる必要があったため、全体の歯を十分に移動できるインビザラインフルが適していることを説明しました。
また、右下のブリッジは歯を動かすにあたって一度外す必要があることもお伝えし、同意いただきました。
インビザラインは患者様専用のマウスピースを作製し、治療計画に沿って定期的に交換することで歯を移動させます。
患者様から「来院頻度が多くない方がいい」とのご希望があったため、なるべく通う回数が少なくなるように治療計画を工夫して対応しました。
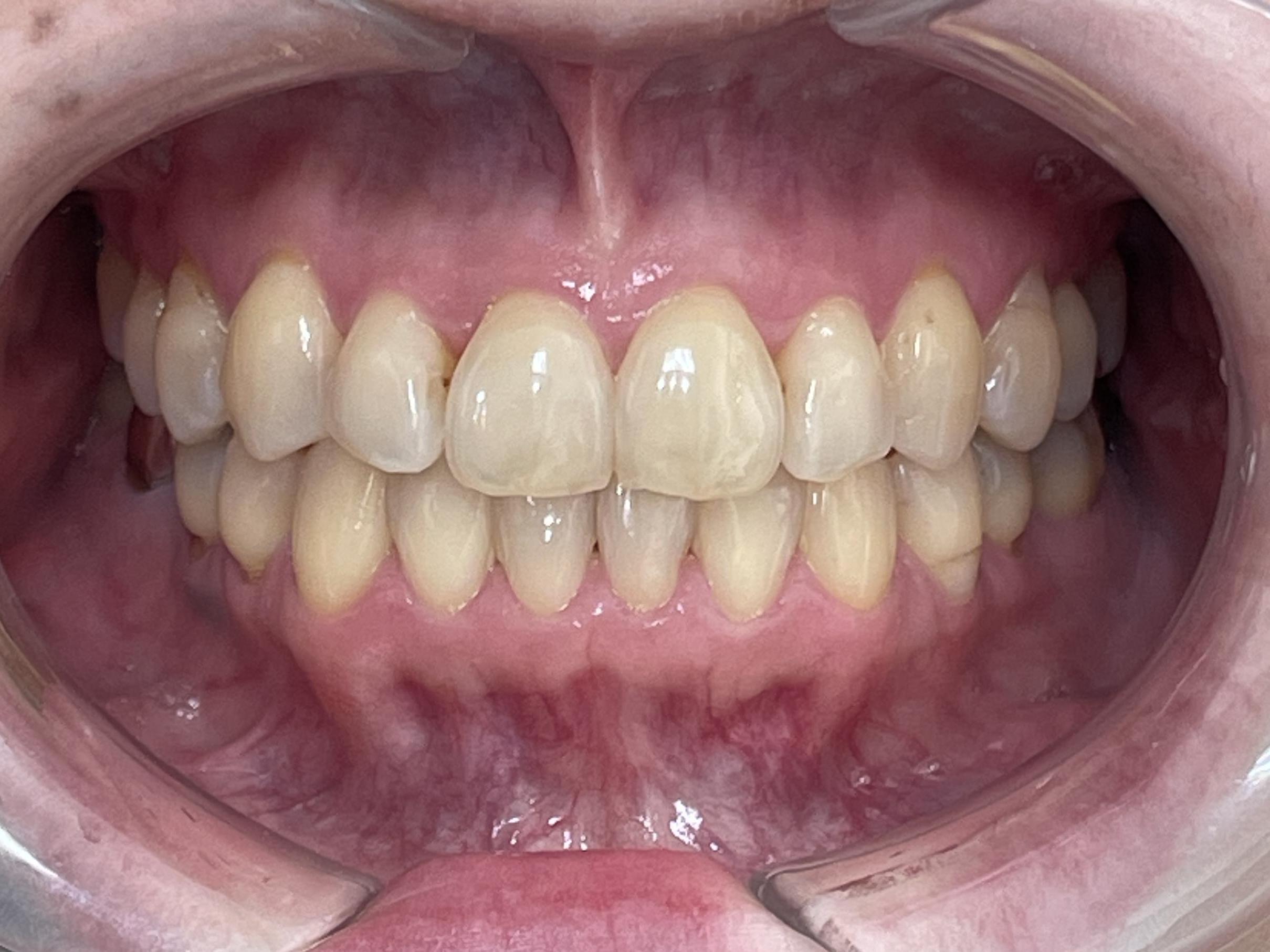
術後の経過・現在のご様子
全体の歯がきれいに並び、噛み合わせも適切な位置になりました。
患者様にも「笑った時の口元も自然になった」と大変お喜びいただいています。
今後は、矯正後の歯並びに合わせて右下のブリッジを新しく被せ直す治療を行う予定です。
この治療のリスクについて
・決められたアライナーの装着時間を守らないと、次のアライナーに交換できず、治療が遅れたり十分な効果が得られない場合があります。
・歯を抜いた後に矯正する場合や、あごの骨格に問題がある場合など、マウスピース矯正に対応していない症例は、治療が困難な可能性もあります。
・治療による歯の移動に伴って、痛みや違和感を感じる場合があります。
・他の矯正治療と同様に、正しく歯磨きやメンテナンスを行わないと虫歯や歯周病のリスクが高まります。
- 年齢・性別50代女性
- 診療種別自由診療
- 矯正治療期間の目安2年
治療費総額の目安矯正:705,000円
- 矯正治療期間の目安2年


※掲載された情報は治療の効果を保証するものではありません。
ご利用により万一何らかの損害が発生したとしても、当サイトは一切責任を負いかねますのでご了承ください。








