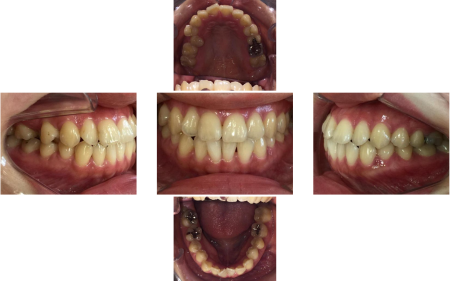
インビザライン治療 症例

30代女性「前歯がガタガタに並んでいる」ずれたりねじれたりして生えている歯を、マウスピース型矯正装置「インビザラインフル」で改善させ、美しく健康的な歯並びにした症例

ご相談内容

「前歯のガタガタを治したい」とご相談いただきました。

カウンセリング・診断結果

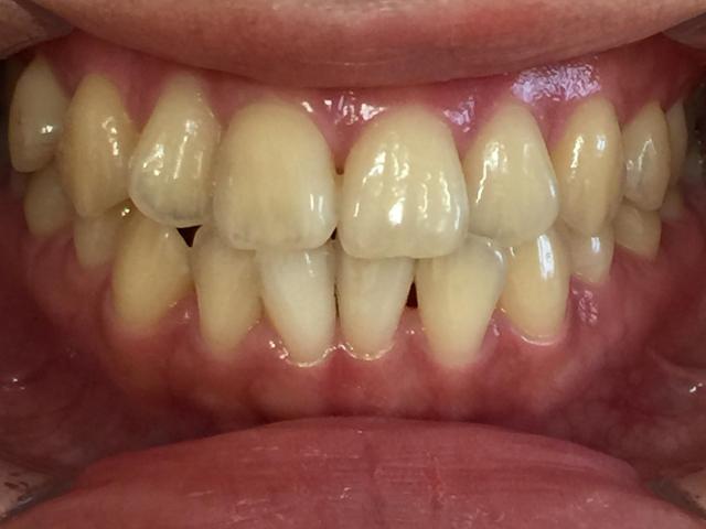
拝見したところ、歯が本来の位置からずれたりねじれたりして生えている「叢生(そうせい)」が認められました。
叢生は前歯だけでなく奥歯にも生じており、特に右上の奥歯(第2小臼歯/5番)は大きく内側に入り込んでいました。

叢生は見た目の美しさに影響を与えるだけでなく、虫歯や歯周病を引き起こす可能性があるため、健康の面からも治療が必要と診断しました。

行ったご提案・治療内容

取り外し式のマウスピース型矯正装置「インビザラインフル」で歯並びを整える治療をご提案しました。

叢生の改善には、歯を動かすためのスペースが必要です。
スペースを確保するために抜歯を行う場合もありますが、全体の歯をしっかり動かせるインビザラインフルで奥歯から動かすことで、歯を抜かずに治療が可能なことをご説明し、同意いただきました。

治療の際は患者様専用のマウスピースを作製し、定期的に交換することで歯を動かしていきました。
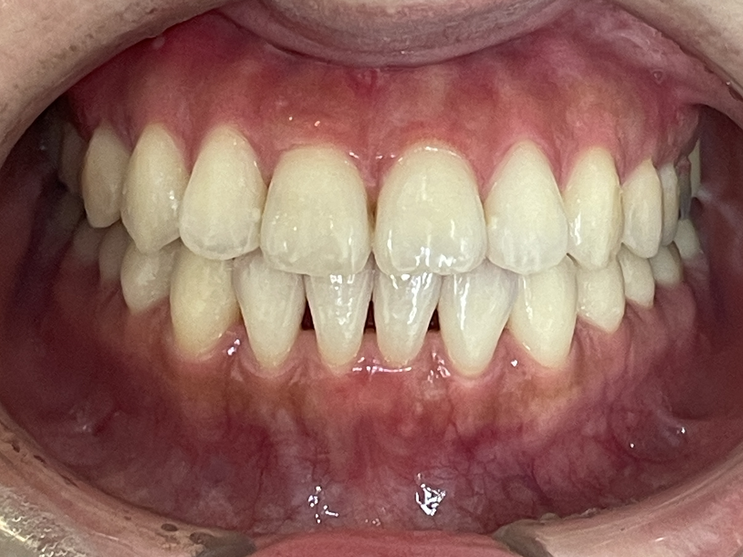
患者様が気にされている前歯が綺麗に並ぶよう注力するとともに、奥歯のずれやねじれもしっかりと改善させました。

術後の経過・現在のご様子

全ての歯が適切な位置と角度で並び、美しく健康的な口元になりました。
患者様にも「歯並びが気にならなくなり、自然に笑えるようになった」と大変お喜びいただきました。

現在も定期的な検診でご通院いただき、経過を拝見しています。

この治療のリスクについて

・決められたアライナーの装着時間を守らないと、次のアライナーに交換できず、治療が遅れたり十分な効果が得られない場合があります。
・歯を抜いた後に矯正する場合や、あごの骨格に問題がある場合など、マウスピース矯正に対応していない症例は、治療が困難な可能性もあります。
・治療による歯の移動に伴って、痛みや違和感を感じる場合があります。
・他の矯正治療と同様に、正しく歯磨きやメンテナンスを行わないと虫歯や歯周病のリスクが高まります。

  1. 年齢・性別30代女性
  2. 診療種別自由診療
    1. 矯正治療期間の目安1年10か月
      治療費総額の目安矯正:675,000円

※掲載された情報は治療の効果を保証するものではありません。
ご利用により万一何らかの損害が発生したとしても、当サイトは一切責任を負いかねますのでご了承ください。

PC・スマホでかんたんインターネット予約
三井アウトレットパークバス停徒歩5分 本院ご予約
高速出口すぐそばのショッピングモール内 大曲医院ご予約
札幌中心街、チカホから直結のmoyuk2F moyuk Sapporo院ご予約
オススメの関連記事