
どのくらい痛い?
矯正を検討されている方の中には色々な懸念点をお持ちの方がいると思います。
費用が・・
期間が長い・・
見た目が気になる
などなど色々ありますよね。
その中でも気になる方が多いのは矯正期間中の痛みだと思います。
ワイヤー矯正などをしている方の話を聞くいたことがある方は矯正=痛いものと連想してしまいますよね。
今回は痛みが気になる皆さまの不安を少しでも解消できるようにお話していきます。

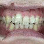
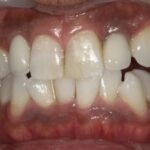
ワイヤー矯正とマウスピース矯正
従来 歯の矯正といえば「ワイヤー矯正」が主流でした。
ワイヤー矯正は文字通り歯にワイヤーをかけて歯を移動させていくもので、取り付けたワイヤーによる歯への圧力や器具がお口の中に当たることで傷つけてしまうことによる痛みが生じやすい矯正治療です。
痛みで食事を満足に摂ることができなかったり、歯ブラシがしづらいことで虫歯や歯周病になってしまい痛みがでることもあります。
一方で最近主流になりつつあるマウスピース矯正はワイヤー矯正と比べて痛みが少ない特徴があります。
さらに痛みが少ないだけではなく透明で見た目が分かりづらく、つけ外しが自分でできるため衛生的などといったメリットがあります。
もちろん歯の移動に伴う痛みがゼロになるわけではありませんがワイヤー矯正よりも矯正期間が過ごしやすいです。

といってもマウスピース矯正についてのイメージがつきづらいですよね。
そんな方のために当院では無料の歯並び相談をおこなっています。
自分の歯はどうやって動くのか?どんなマウスピースを使用するのか?実際に実物をお見せしながらお話させていただきます。
皆さまからのご連絡お待ちしております。








