
矯正を始める時期
矯正を始めるタイミングを決める中で「まだ早いかな・・」と矯正開始を先延ばしにしてしまってはいませんか?実は矯正は早く始めれば始めるほどより短期間で矯正を終えることができます。
子供の頃はアゴが発達してくる時期と重なることもあり大人と比べると早い段階で下顎前突(しゃくれ)や上顎前突(出っ歯)などの悪い歯並びが治ることが多いです。
成長段階にある時期に矯正をおこなうので比較的お口周りの骨に柔軟性があるからです。
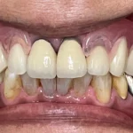
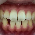
一方大人の矯正は子供と比較してあごの発達が止まっている場合が多いので長い期間がかかってしまったり、抜歯が必要であったり場合によっては矯正ができないという状態になることもあります。
矯正治療にかかる期間やより綺麗に歯並びを整えるために必要な処置が増えてしまうことを考えると、なるべく早い段階で矯正を開始させることが大切になってきます。
当院では矯正治療に関する相談を無料で受け付けておりますので『私の歯並び大丈夫?』『子供の歯並びが気になる・・』など気になることがありましたらお気軽にご連絡ください。









