
30代女性「八重歯が気になる」歯が重なり合って生えている「叢生」を、マウスピース型矯正装置「インビザラインフル」で美しい歯並びと咬み合わせに改善した症例


ご相談内容
「八重歯が気になる」とご相談いただきました。
カウンセリング・診断結果
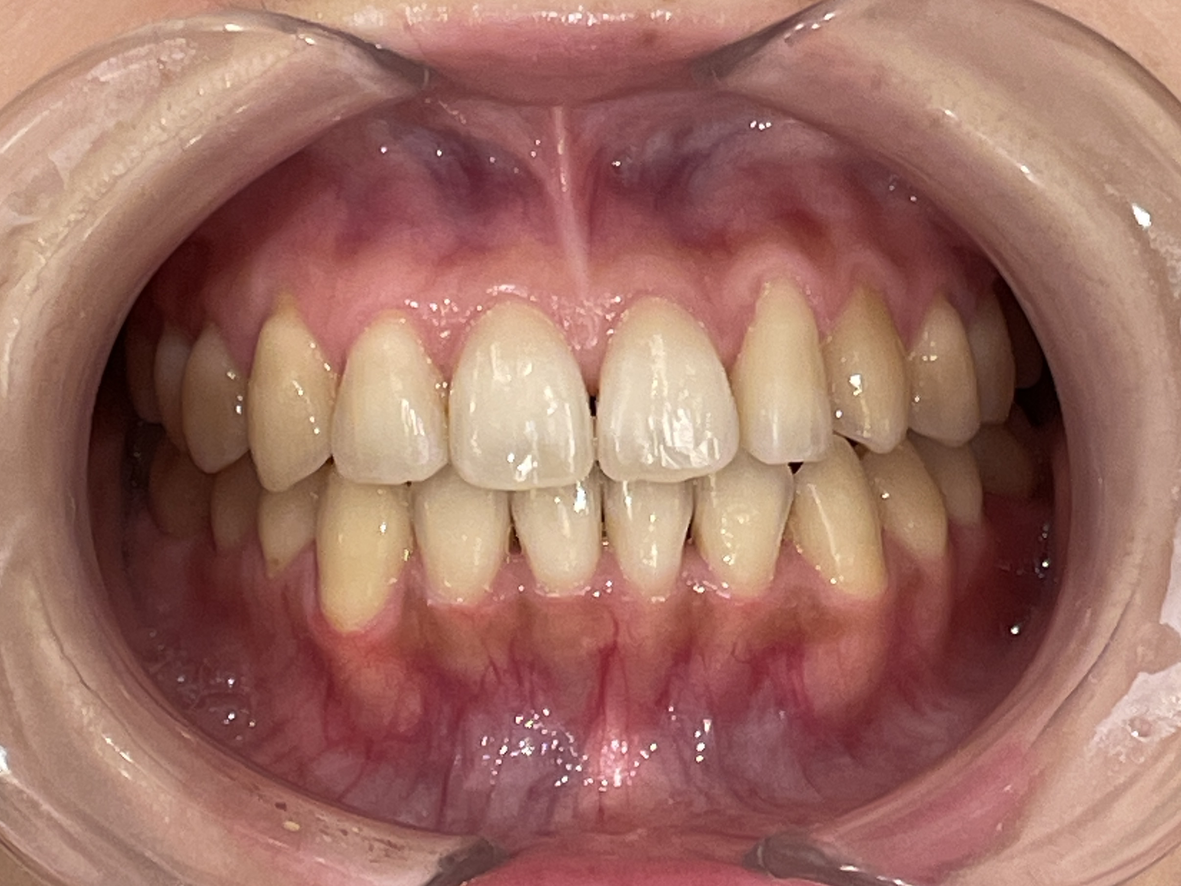
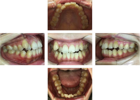
拝見したところ、上下の前歯に、歯が重なり合ってガタガタに生えている「叢生(そうせい)」が認められました。
そのためお口全体の咬み合わせのバランスが悪くなっていて、奥歯で咬み込んだ時に上下の前歯に隙間ができていました。
行ったご提案・治療内容
歯並びを整えるためには奥歯からしっかり動かす必要があったため、全ての歯を動かすことができる取り外し式のマウスピース型矯正装置「インビザラインフル」をご提案し、同意いただきました。
歯を正しい位置に移動させながら、お口全体でしっかり咬めるように、咬み合わせにも配慮しながら治療を進めました。
術後の経過・現在のご様子
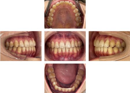
歯が正しい位置に並び、お口全体でしっかり咬めるようになりました。
患者様にも「ずっと気になっていた八重歯がきれいな歯並びになって嬉しい」と大変お喜びいただきました。
現在は定期検診でご来院いただき、経過を観察しています。
この治療のリスクについて
・決められたアライナーの装着時間を守らないと、次のアライナーに交換できず、治療が遅れたり十分な効果が得られない場合があります。
・歯を抜いた後に矯正する場合や、あごの骨格に問題がある場合など、マウスピース矯正に対応していない症例は、治療が困難な可能性もあります。
・治療による歯の移動に伴って、痛みや違和感を感じる場合があります。
・他の矯正治療と同様に、正しく歯磨きやメンテナンスを行わないと虫歯や歯周病のリスクが高まります。
- 年齢・性別30代女性
- 診療種別自由診療
- 矯正治療期間の目安1年3か月
治療費総額の目安矯正:640,000円
- 矯正治療期間の目安1年3か月


※掲載された情報は治療の効果を保証するものではありません。
ご利用により万一何らかの損害が発生したとしても、当サイトは一切責任を負いかねますのでご了承ください。








