
30代男性「前歯と右の犬歯の位置が気になる」前後に重なっている「叢生」を前歯に特化したマウスピース型矯正装置「インビザラインGO」できれいに改善した症例


ご相談内容
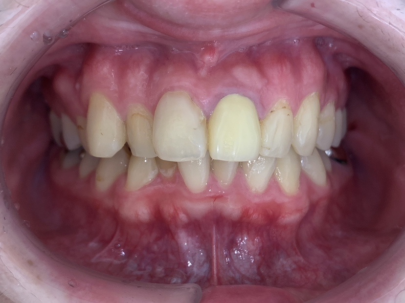
「前歯と右の犬歯の位置が気になる」とご相談いただきました。
カウンセリング・診断結果
拝見したところ、上下の前歯が前後に重なり合っている「叢生(そうせい)」で、部分的に歯がねじれている「捻転(ねんてん)」がありました。
右上の前歯(側切歯/2番)が内側にずれて生えているため、隣の前歯(犬歯/3番)が飛び出ているようにみえる状態でした。
患者様は「英語の講師をしていて、『th』を発音する時に舌が遠い感じがする」とのことでした。
行ったご提案・治療内容
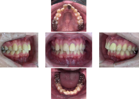
奥歯の噛み合わせに問題がなかったため、前歯のみの治療に適したマウスピース型矯正装置「インビザラインGO」をご提案しました。
患者様専用のマウスピースを製作するために型取りを行い、捻転と発音時の舌の位置が改善できるよう設計しました。
マウスピース完成後、使用方法やお手入れの方法を丁寧にお伝えし、お渡ししました。
矯正治療期間中は調整と歯並びのチェックのため、定期的にご通院いただきました。
また、矯正治療終了後は歯が元の位置に戻る「後戻り」を防ぐための装置「リテーナー」の使用をおすすめしました。
術後の経過・現在のご様子
歯がきれいに並び、舌が動かしやすくなり発音もよくなりました。
患者様からは「見た目がよくなっただけでなく、発音も改善できてうれしい」とご満足いただけました。
後戻りもなく、現在も定期検診にご通院されています。
この治療のリスクについて
・決められたアライナーの装着時間を守らないと、次のアライナーに交換できず、治療が遅れたり十分な効果が得られない場合があります。
・歯を抜いた後に矯正する場合や、あごの骨格に問題がある場合など、マウスピース矯正に対応していない症例は、治療が困難な可能性もあります。
・治療による歯の移動に伴って、痛みや違和感を感じる場合があります。
・他の矯正治療と同様に、正しく歯磨きやメンテナンスを行わないと虫歯や歯周病のリスクが高まります。
- 年齢・性別30代男性
- 診療種別自由診療
- 治療期間の目安7か月
治療費総額の目安560,000円
- 治療期間の目安7か月


※掲載された情報は治療の効果を保証するものではありません。
ご利用により万一何らかの損害が発生したとしても、当サイトは一切責任を負いかねますのでご了承ください。








