
30代女性「前歯が出ていて歯並びもガタガタしている」歯がねじれて生えている「叢生」を、前歯の矯正治療に特化したマウスピース型矯正装置「インビザラインGO」で美しく改善させた症例


ご相談内容
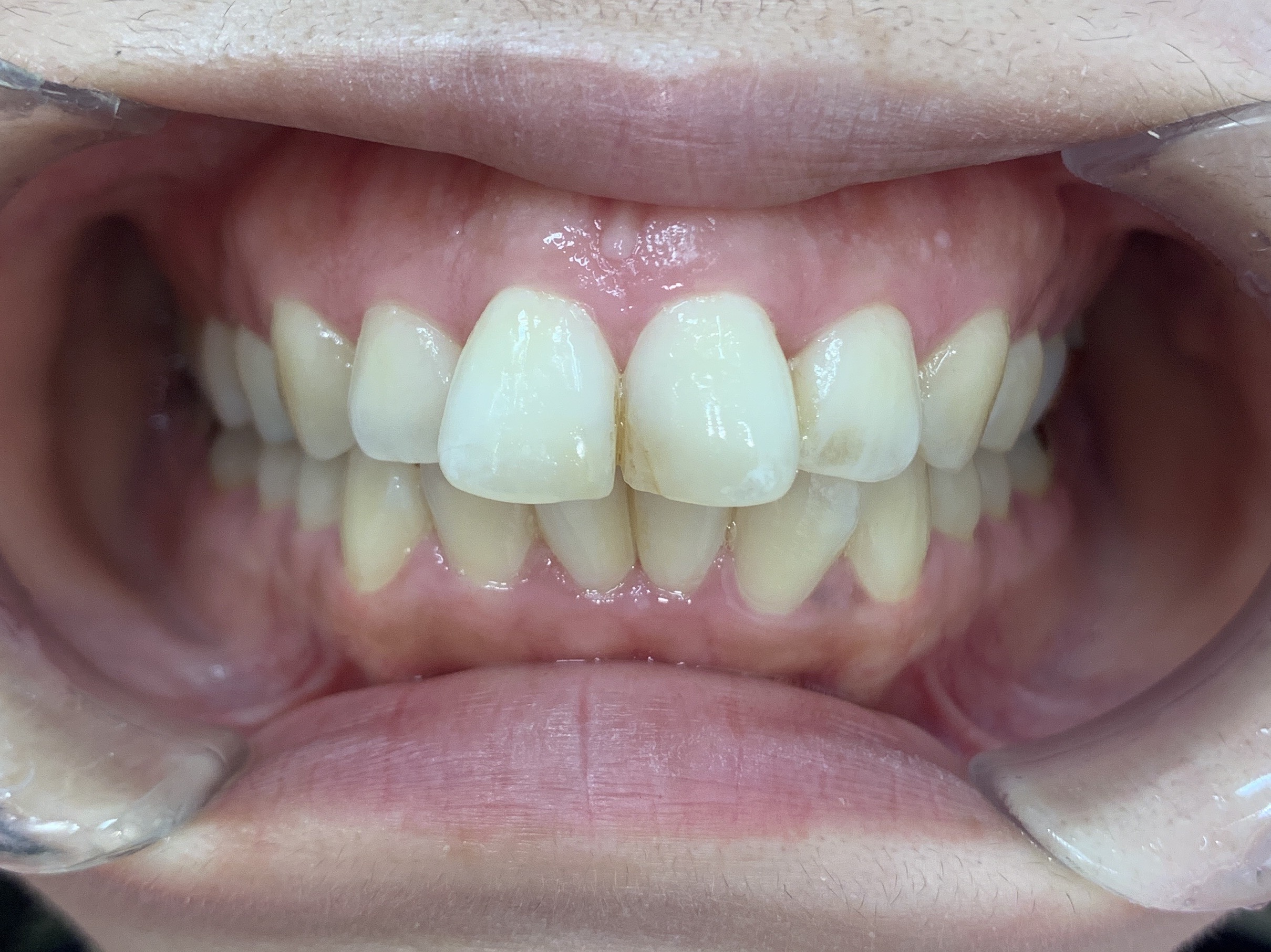
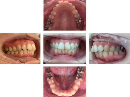
「上の歯が出ている感じと、下の歯のガタガタが気になる」とご相談いただきました。
カウンセリング・診断結果
拝見したところ、歯が傾いたりねじれたりして生えている「叢生(そうせい)」が上下の前歯に確認されました。
特に上の前歯(左右中切歯/1番)は前方に傾いており、口元の突き出し感につながっていました。
上下の奥歯の位置関係や噛み合わせに関しては、特に問題は認められませんでした。
行ったご提案・治療内容
取り外し式のマウスピース型矯正装置「インビザラインGO」で歯並びを整える治療をご提案しました。
インビザラインGOは前歯の部分的な矯正治療に特化しており、全体の歯を動かすマウスピース矯正と比較すると費用や治療期間を抑えられるメリットがあります。
この患者様は奥歯の歯並びに問題がなかったため、インビザラインGOで前歯のみを動かす治療が可能なことをご説明し、ご希望いただきました。
叢生を改善する際は、歯が綺麗に並ぶようにするとともに、上下の歯並びが前方に突出しないよう気を付けながら治療を行いました。
術後の経過・現在のご様子
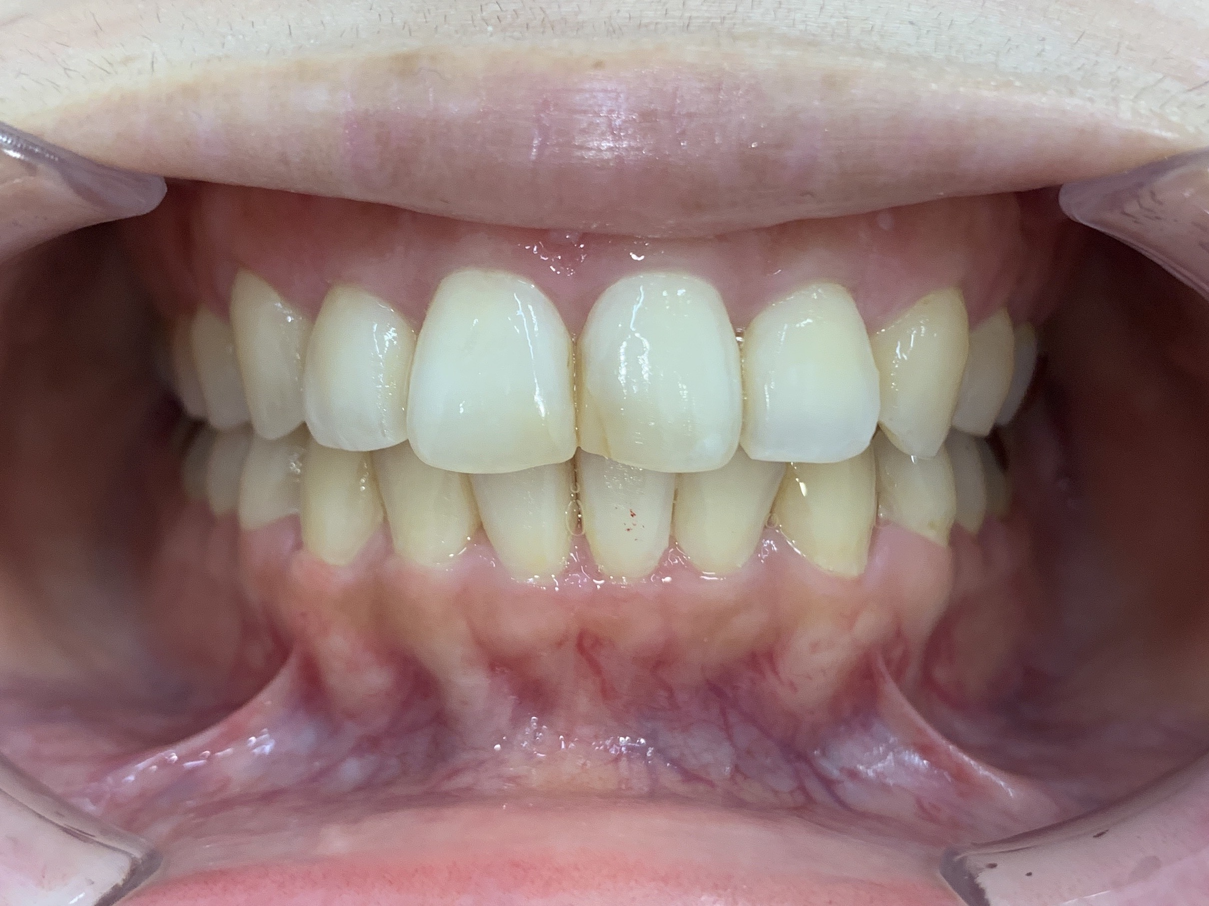
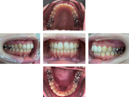
前歯が適切な角度で並び、口元のラインも美しくなりました。
患者様にも「短期間で理想的な歯並びになり嬉しい」と大変ご満足いただきました。
患者様のお子様もご紹介いただき、当院で矯正を始めておられます。
この治療のリスクについて
・決められたアライナーの装着時間を守らないと、次のアライナーに交換できず、治療が遅れたり十分な効果が得られない場合があります。
・歯を抜いた後に矯正する場合や、あごの骨格に問題がある場合など、マウスピース矯正に対応していない症例は、治療が困難な可能性もあります。
・治療による歯の移動に伴って、痛みや違和感を感じる場合があります。
・他の矯正治療と同様に、正しく歯磨きやメンテナンスを行わないと虫歯や歯周病のリスクが高まります。
- 年齢・性別30代女性
- 診療種別自由診療
- 治療期間の目安10か月
治療費総額の目安425,000円
- 治療期間の目安10か月


※掲載された情報は治療の効果を保証するものではありません。
ご利用により万一何らかの損害が発生したとしても、当サイトは一切責任を負いかねますのでご了承ください。








