
20代女性「前歯がガタガタしている」歯が正常な位置からずれたりねじれたりして生えている「叢生」を、マウスピース型矯正装置「インビザラインGO」で費用を抑えて改善させた症例


ご相談内容
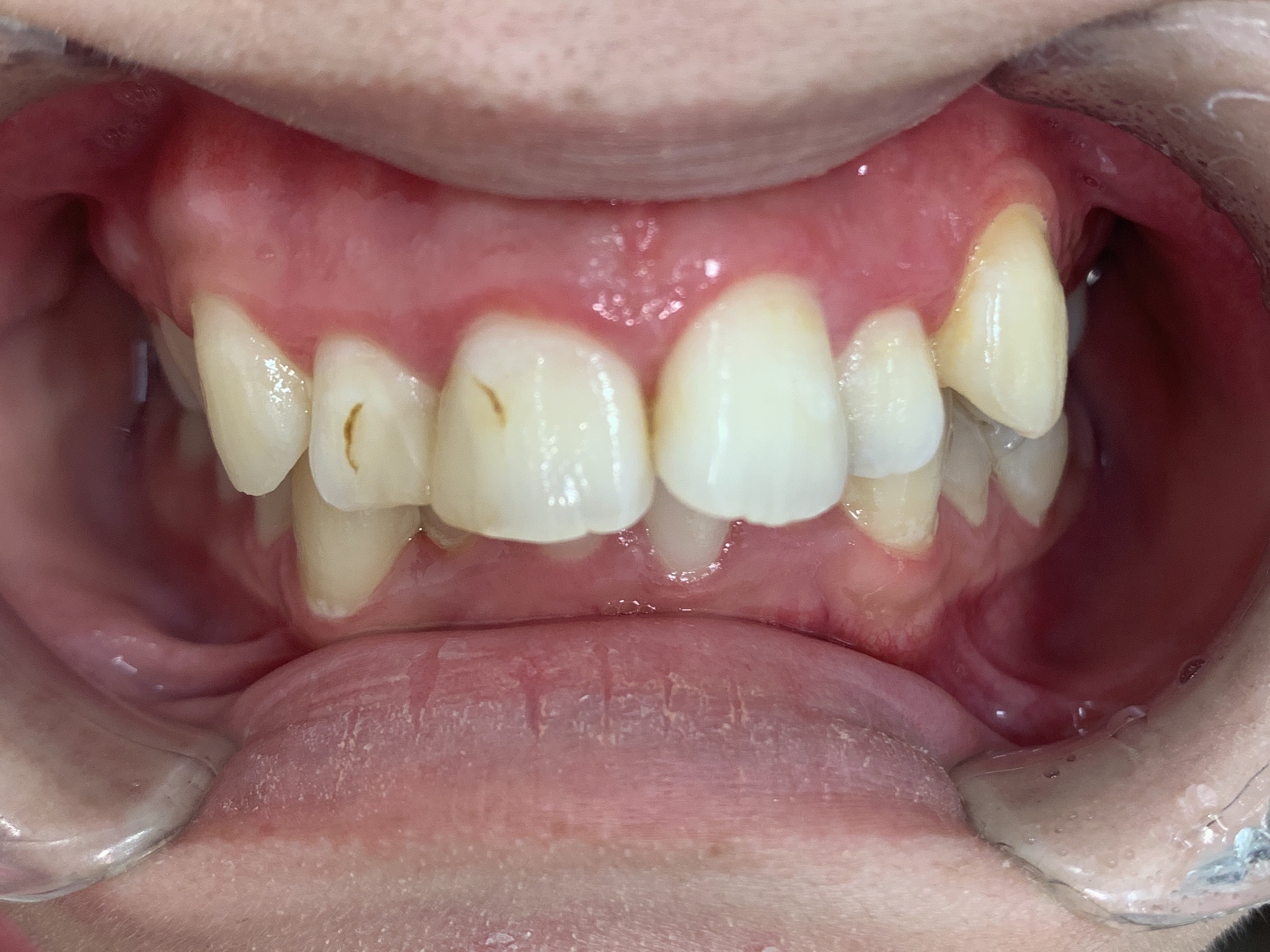
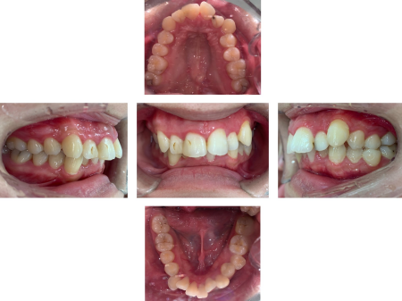
「前歯がガタガタしているのが気になる」とご相談いただきました。
カウンセリング・診断結果
拝見したところ、歯が正常な位置からずれたりねじれたりして生えている「叢生(そうせい)」が上下の前歯を中心に認められました。
歯が重なり合っている部分は歯ブラシが届きにくいため、汚れが溜まりやすく、虫歯や歯周病のリスクも高まっていました。
奥歯の噛み合わせを確認すると、上の歯並びに対して下の歯並びがやや前に出ている「アングル2級」の骨格で、バランスよく噛むことができていない状態でした。
行ったご提案・治療内容
取り外し式のマウスピース型矯正装置「インビザライン」で歯並びを整える治療をご提案しました。
インビザラインには、前歯の矯正治療に特化した「インビザラインGO」と、全体の歯をしっかり動かせる「インビザラインフル」があります。
インビザラインGOで前歯のみを動かして見た目を整える治療も可能ですが、奥歯の噛み合わせが適切な位置ではなかったため、噛み合わせも含めた完全な仕上げをするにはインビザラインフルでの治療が適していることをご説明しました。
患者様は「できるだけ費用を抑えたい」とご希望され、費用や期間を抑えて治療できるインビザラインGOをご選択されました。
治療の際は、患者様の歯並びをもとに作製した専用のマウスピースをご使用いただき、定期的に交換することで歯を動かし、改善していきました。
治療の途中、歯を動かした刺激により痛みが出た部位があったため、慎重に経過観察を行いました。
術後の経過・現在のご様子
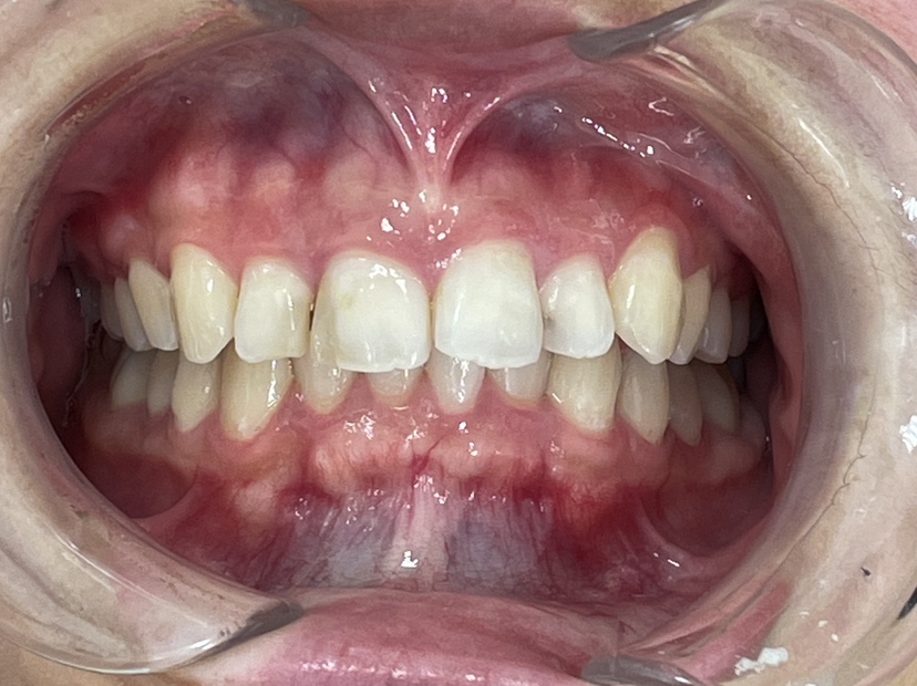
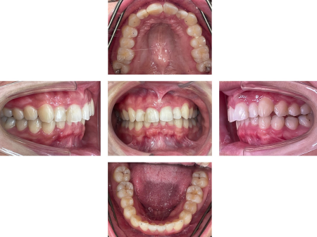
歯が綺麗なアーチ状に並び、笑った時の口元も自然な見た目になりました。
患者様にも「人前でも口元を気にせず過ごせるようになった。歯磨きもしやすくなり嬉しい」と大変ご満足いただきました。
現在も定期的な検診でご来院いただいています。歯の痛みも治まっており、術後の経過は順調です。
この治療のリスクについて
・決められたアライナーの装着時間を守らないと、次のアライナーに交換できず、治療が遅れたり十分な効果が得られない場合があります。
・歯を抜いた後に矯正する場合や、あごの骨格に問題がある場合など、マウスピース矯正に対応していない症例は、治療が困難な可能性もあります。
・治療による歯の移動に伴って、痛みや違和感を感じる場合があります。
・他の矯正治療と同様に、正しく歯磨きやメンテナンスを行わないと虫歯や歯周病のリスクが高まります。
- 年齢・性別20代女性
- 診療種別自由診療
- 治療期間の目安10か月
治療費総額の目安435,000円
- 治療期間の目安10か月


※掲載された情報は治療の効果を保証するものではありません。
ご利用により万一何らかの損害が発生したとしても、当サイトは一切責任を負いかねますのでご了承ください。








