
30代女性「出っ歯が気になる」上の前歯が前方に出すぎている「上顎前突」と歯がデコボコに並ぶ「叢生」を、マウスピース型矯正装置「インビザラインフル」で改善した症例


ご相談内容
「出っ歯が気になる」とご相談いただきました。
カウンセリング・診断結果
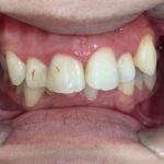
拝見したところ、上の前歯が前方に傾き突出している「上顎前突(じょうがくぜんとつ)」でした。
また、下の前歯4本(左右の中切歯/1番、側切歯/2番)は、歯が重なり合って生えている「叢生(そうせい)」が認められました。
このままの状態を放置すると、前歯でしっかり噛めないことにより胃腸に負担がかかる恐れがありました。
また、歯ブラシがうまく当てられないことから、虫歯や歯周病になりやすくなるため、矯正治療が必要だと判断しました。
行ったご提案・治療内容
患者様のご希望通り、歯を抜かずに歯並びを整えるために、奥歯から前歯すべての歯を動かせるマウスピース矯正の「インビザラインフル」での治療をご提案し、ご選択いただきました。
インビザラインフルは、オーダーメイドのマウスピースを作製し、治療の段階に合わせて新しいマウスピースに交換しながら徐々に歯を動かし、歯並びを矯正します。
定期的に通院していただき、上の前歯の傾きを修正しつつ、下の前歯の歯並びも整えていきました。
術後の経過・現在のご様子
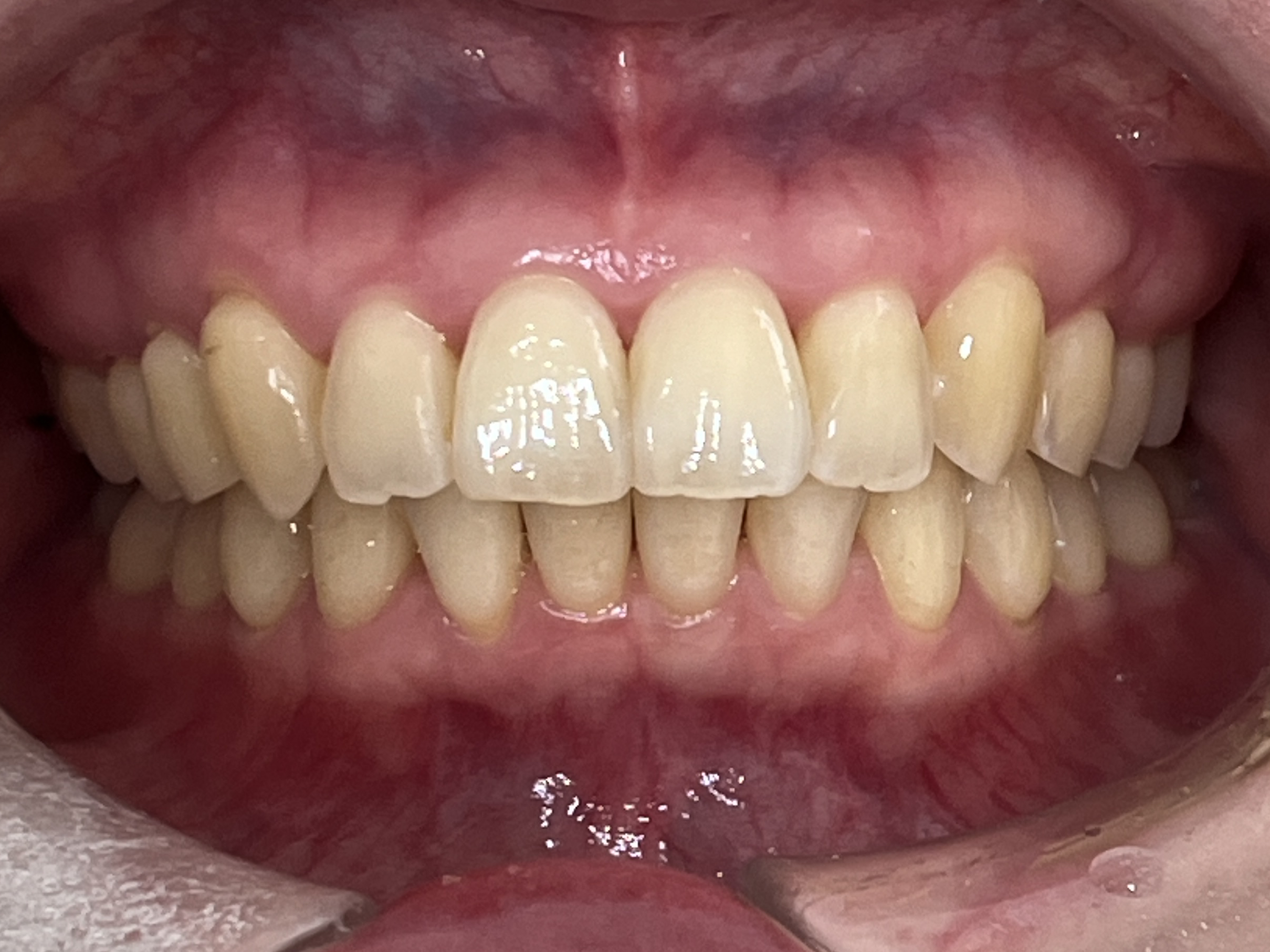
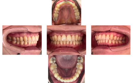
歯並びが適正な位置に整い、お口全体で噛めるようになりました。
患者様にも「歯を抜かずに、口元が綺麗になって嬉しい」と大変ご満足いただきました。
現在は定期的なメンテナンスにご来院いただいております。
この治療のリスクについて
・決められたアライナーの装着時間を守らないと、次のアライナーに交換できず、治療が遅れたり十分な効果が得られない場合があります。
・歯を抜いた後に矯正する場合や、あごの骨格に問題がある場合など、マウスピース矯正に対応していない症例は、治療が困難な可能性もあります。
・治療による歯の移動に伴って、痛みや違和感を感じる場合があります。
・他の矯正治療と同様に、正しく歯磨きやメンテナンスを行わないと虫歯や歯周病のリスクが高まります。
- 年齢・性別30代女性
- 診療種別自由診療
- 矯正治療期間の目安2年3か月
治療費総額の目安矯正:715,000円
- 矯正治療期間の目安2年3か月


※掲載された情報は治療の効果を保証するものではありません。
ご利用により万一何らかの損害が発生したとしても、当サイトは一切責任を負いかねますのでご了承ください。








