インビザライン治療 症例

20代女性「歯並びがガタガタしている」マウスピース型矯正装置「インビザラインフル」で顎のズレから治し、短期間で希望通りの口元になった症例

ご相談内容

「ガタガタしている歯並びを治したい。結婚式までにきれいな口元になりたい」とご相談いただきました。

カウンセリング・診断結果

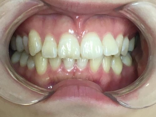
拝見したところ、全体的に歯が前後にズレて生えている「叢生(そうせい)」の状態でした。

行ったご提案・治療内容

顎の位置関係が正常な位置からズレていたため、噛み合わせを含めお口全体の歯並びをよくするマウスピース型の矯正装置「インビザラインフル」をご提案し、ご選択されました。

まずはじめに仕上がりのシュミレーションをし、患者様専用のマウスピースを作製するために型取りをしました。

完成後、使用方法をご説明し、お渡ししました。

その後は定期的にご通院いただき、歯並びのチェックを行いました。
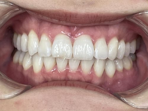
患者様に積極的に治療に取り組んでいただけたおかげで、短期間で理想の状態になりました。

口元の見た目をよくするために、歯科医院とご自宅の両方で薬剤を用いて歯を白くする「デュアルホワイトニング」も矯正治療と並行して行いました。

矯正治療終了後、歯が元の位置に戻る「後戻り」を防ぐための装置「リテーナー」の使用をおすすめしました。

術後の経過・現在のご様子

短期間で理想的な歯並びになり、きれいな口元で物もよく噛めるようになりました。

患者様からは「歯並びがよくなっただけでなく、色も白くなって希望通りの口元になって嬉しい」と大変ご満足いただけました。

現在、後戻りはなく、定期検診にご通院されています。

この治療のリスクについて

・決められたアライナーの装着時間を守らないと、次のアライナーに交換できず、治療が遅れたり十分な効果が得られない場合があります。
・歯を抜いた後に矯正する場合や、あごの骨格に問題がある場合など、マウスピース矯正に対応していない症例は、治療が困難な可能性もあります。
・治療による歯の移動に伴って、痛みや違和感を感じる場合があります。
・他の矯正治療と同様に、正しく歯磨きやメンテナンスを行わないと虫歯や歯周病のリスクが高まります。

  1. 年齢・性別20代女性
  2. 診療種別自由診療
    1. 矯正治療期間の目安1年
    2. ホワイトニング期間2か月
      治療費総額の目安矯正:685,000円 ホワイトニング:98,000

※掲載された情報は治療の効果を保証するものではありません。
ご利用により万一何らかの損害が発生したとしても、当サイトは一切責任を負いかねますのでご了承ください。

PC・スマホでかんたんインターネット予約
三井アウトレットパークバス停徒歩5分 本院ご予約
高速出口すぐそばのショッピングモール内 大曲医院ご予約
札幌中心街、チカホから直結のmoyuk2F moyuk Sapporo院ご予約
オススメの関連記事