
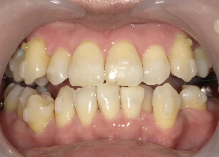
アタッチメント
インビザライン矯正を始めると多くの方が経験するのがアタッチメントです。アタッチメントは歯の表面につける小さなポッチのことでマウスピースによる歯の動きをさらに良くするために付与します。歯に着けるときに痛みはなく、しみたりすることもありません。
透明な突起のような見た目のため人からも分かりづらく、アタッチメントの上からマウスピースを装着してしまえばさらに分かりづらくなります。一方でアタッチメントが歯の表面につくことで歯ブラシで磨きにくくなり、着色や匂いが目立つようになるため歯科医院での専門的なクリーニングが必要になります。

※矯正は自費診療になり保険のクリーニングとの併用ができなくなるため、当院でクリーニングを行う場合にはホワイトエッセンスの自費クリーニングが適応になります。
クリーニングだけ他院でおこなうことも可能です。
ゴムかけ
歯を効率良く移動させるために専用のボタンを歯に装着する場合もあります。
アタッチメント同様歯の表面に接着材で付与するものになるので、付与そのもので痛みやしみが発生することはありません。
ゴムかけは専用のボタンを使用しておこないますが、初めの頃は自分で取り付けることを難しく感じる方もいらっしゃいます。ご自身でスムーズにおこなえるようにスタッフが丁寧にお教えいたしますのでご安心ください。

IPR
IPRは歯と歯の間に意図的に隙間をつくり、歯が動く空間を作る作業のことです。
歯を移動するうえで隙間がないと十分な移動がおこなえない場合に適応されます。IPRの必要性については担当医からもご説明させてただきますが、矯正のためとはいえ健康な歯を削ることになるので患者様ご本人のご理解をいただく必要がある作業になります。
矯正開始時はもちろんIPRをさせていただく際には前もってご説明させていただきます。何も言わずに歯を削るということはありませんのでご安心ください。削る範囲も数ミリ程度になりますので半分以上歯が無くなるということはありません。









