
40代女性「噛み合わせが反対になっている」下の歯が上の歯に被さる「反対咬合」を、透明で目立ちにくいマウスピース型矯正装置「インビザラインフル」で改善させた症例


ご相談内容
「噛み合わせが反対になっていて気になる」とご相談いただきました。
カウンセリング・診断結果
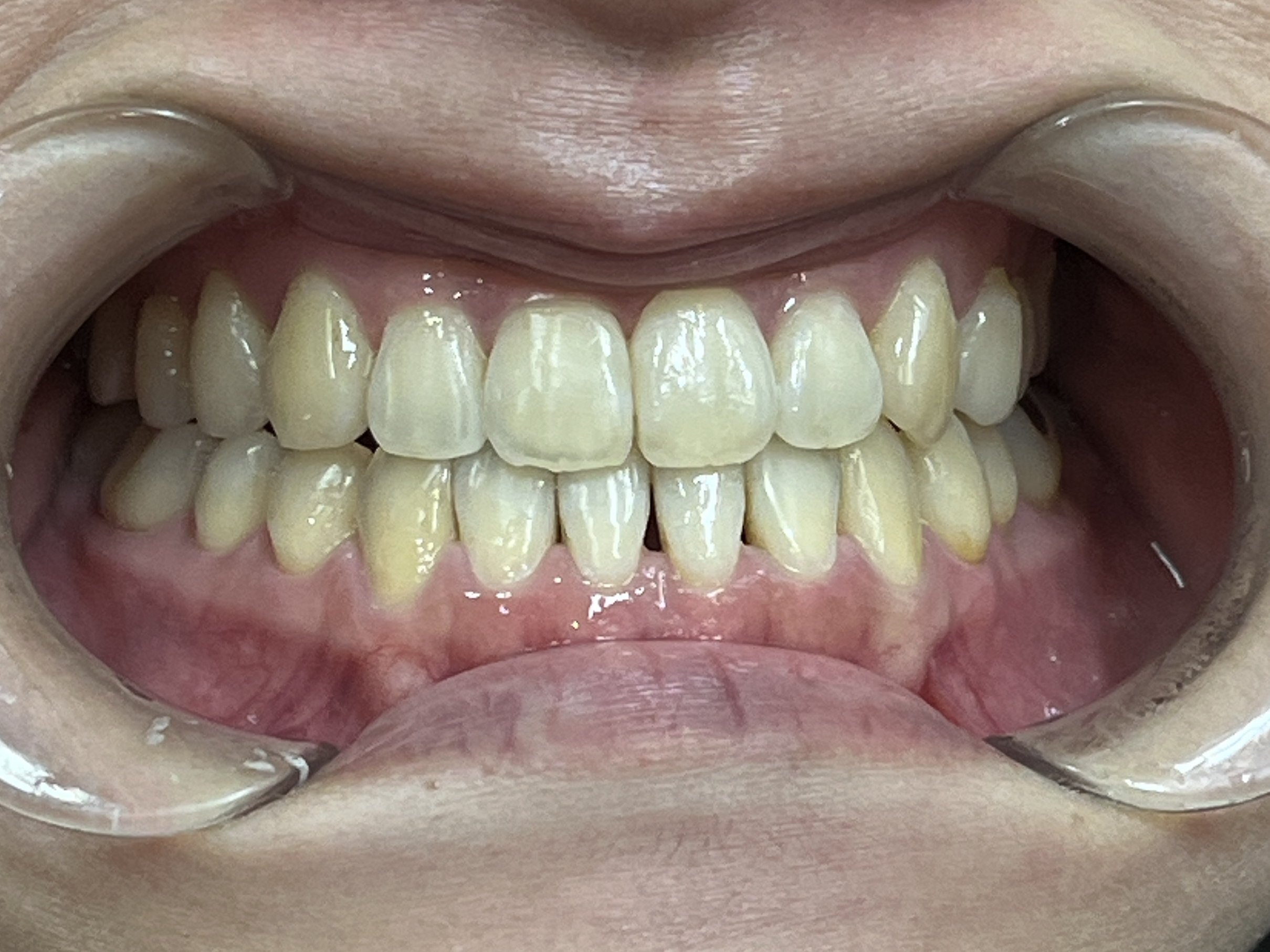
拝見したところ、噛んだ時に下の歯が上の歯に被さる「反対咬合(はんたいこうごう)」が認められました。
見た目が気になるだけでなく、あごの関節や奥歯に負担がかかっており、将来的に痛みが出たり歯の寿命が短くなったりする恐れがありました。
患者様は「なるべく目立たない方法で治療したい」とご希望でした。
行ったご提案・治療内容
取り外しが可能なマウスピース型矯正装置「インビザラインフル」で噛み合わせを整える方法をご提案しました。
インビザラインは反対咬合の改善が苦手とされていますが、当院ではマウスピースの設計を工夫することでしっかりと治すことが可能です。
また、治療に用いるマウスピースは透明なプラスチック製で目立ちにくいこともご説明し、ご希望いただきました。
術後の経過・現在のご様子
噛み合わせが適切になり、全体の歯でバランス良く噛めるようになりました。
患者様にも「笑う時も自信を持って歯を見せられるようになった」とお喜びのお言葉をいただきました。
現在も定期的なメンテナンスでご来院いただいています。
この治療のリスクについて
・決められたアライナーの装着時間を守らないと、次のアライナーに交換できず、治療が遅れたり十分な効果が得られない場合があります。
・歯を抜いた後に矯正する場合や、あごの骨格に問題がある場合など、マウスピース矯正に対応していない症例は、治療が困難な可能性もあります。
・治療による歯の移動に伴って、痛みや違和感を感じる場合があります。
・他の矯正治療と同様に、正しく歯磨きやメンテナンスを行わないと虫歯や歯周病のリスクが高まります。
- 年齢・性別40代女性
- 診療種別自由診療
- 治療期間の目安1年7ヶ月
治療費総額の目安690,000円
- 治療期間の目安1年7ヶ月


※掲載された情報は治療の効果を保証するものではありません。
ご利用により万一何らかの損害が発生したとしても、当サイトは一切責任を負いかねますのでご了承ください。








