
40代女性「上顎の突出感が気になる」歯が重なり合って生えている「叢生」で乱れた歯並びと噛み合わせを、マウスピース型矯正装置「インビザラインフル」で歯を正しい位置に並べた症例


ご相談内容
「上顎の突出感が気になる」とご相談いただきました。
カウンセリング・診断結果
拝見したところ、上下の前歯に、歯が重なり合って生えている「叢生(そうせい)」が認められました。
そのため、全体的な噛み合わせのバランスが悪くなっていました。
また、歯に黄ばみがあり口元が暗い印象でした。
行ったご提案・治療内容
歯並びと噛み合わせを改善するために、取り外し式のマウスピース型矯正装置「インビザラインフル」をご提案しました。
叢生量が多く奥歯の移動も必要だったため、全ての歯を動かすことができるインビザラインフルでの治療が適していることをご説明し、同意いただきました。
治療途中噛み合わせの負担が強くなり、左下や右上の歯に痛みが出たため、歯を移動させるマウスピース「アライナー」の加工などを行いながら治療を進めました。
さらに、専用の薬剤を使って歯を漂白する「ホワイトニング」も行いました。
術後の経過・現在のご様子
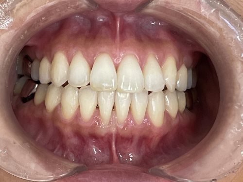
歯並びが整い、正しい位置で噛めるようになりました。
また、歯の黄ばみも改善され、明るく美しい口元になりました。
患者様にも「口元に自信が持てるようになって嬉しい」と大変ご満足いただきました。
現在は定期検診でご来院いただき、経過を観察しています。
この治療のリスクについて
・決められたアライナーの装着時間を守らないと、次のアライナーに交換できず、治療が遅れたり十分な効果が得られない場合があります。
・歯を抜いた後に矯正する場合や、あごの骨格に問題がある場合など、マウスピース矯正に対応していない症例は、治療が困難な可能性もあります。
・治療による歯の移動に伴って、痛みや違和感を感じる場合があります。
・他の矯正治療と同様に、正しく歯磨きやメンテナンスを行わないと虫歯や歯周病のリスクが高まります。
- 年齢・性別40代女性
- 診療種別自由診療
- 治療期間の目安2年7か月
治療費総額の目安720,000円
- 治療期間の目安2年7か月


※掲載された情報は治療の効果を保証するものではありません。
ご利用により万一何らかの損害が発生したとしても、当サイトは一切責任を負いかねますのでご了承ください。








