
30代女性「歯の黄ばみが気になる」歯科医院で行う「オフィスホワイトニング」とご自宅で行う「ホームホワイトニング」を併用した「デュアルホワイトニング」で理想の白さに導いた症例


ご相談内容
「歯の黄ばみがずっと気になっていた。マスクを外す機会も増え、仕事柄人と話すことも多いのでそろそろホワイトニングをしたい」とご相談いただきました。
カウンセリング・診断結果
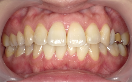
拝見したところ、全体的に歯の黄ばみがあり、口元が暗い印象でした。
特に犬歯(3番)は黄色味が目立っていました。
カウンセリングでは歯の色見本「シェードガイド」を用いて、患者様の理想とされる白さを確認しました。
行ったご提案・治療内容
ホワイトニングには、歯科医院で行う「オフィスホワイトニング」、ご自宅で行う「ホームホワイトニング」、どちらも併用する「デュアルホワイトニング」の3種類があります。
患者様の理想の白さにするためにはデュアルホワイトニングが適していることをご説明し、同意いただきました。
まず、即効性のあるオフィスホワイトニングで全体的に歯のトーンアップを行いました。
そして白さを持続させるために、ご自宅でホームホワイトニングを行っていただきました。
術後の経過・現在のご様子
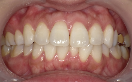
全体的に黄ばみが改善され、明るく美しい口元になりました。
患者様にも「家族にも歯が白くなったことを気づいてもらえた」と大変お喜びいただきました。
現在は白さを維持するために、定期検診にご来院いただいています。
この治療のリスクについて
個人差がありますが、治療中や治療後に歯がしみる場合があります。
- 年齢・性別30代女性
- 診療種別自由診療
- 治療期間の目安2ヶ月
- 《内訳》
- デュアルホワイトニング 98,000円
- 治療期間の目安2ヶ月
※掲載された情報は治療の効果を保証するものではありません。
ご利用により万一何らかの損害が発生したとしても、当サイトは一切責任を負いかねますのでご了承ください。








