
40代男性「歯が黄色くなってきた」黄ばみが強い歯を、歯科医院で行うオフィスホワイトニングとご自宅で行うホームホワイトニングを併用した「デュアルホワイトニング」で美しい白さにした症例


ご相談内容
「歯がだんだん黄色くなってきた。テレビなどで芸能人の白い歯を見た時に、自分の歯が気になるようになった」とご相談いただきました。
カウンセリング・診断結果
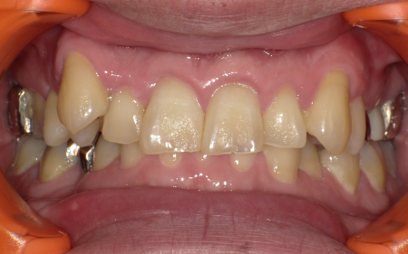
拝見したところ、全体的に歯の黄ばみが強く、笑った時の口元も暗い印象になっていました。
患者様からは「接客業をしているため、マスクを外した時にきれいな歯の方がいい」とお話いただきました。
歯の色見本を用いて詳しいカウンセリングを行い、歯をどの程度白くしたいかなど、治療に関する患者様のご希望をお伺いしました。
行ったご提案・治療内容
専用の薬剤を使って歯を白くする「ホワイトニング」をご提案しました。
歯科医院で薬液を使用して歯を白くする「オフィスホワイトニング」と、専用のマウスピースとジェルを使用してご自宅で行う「ホームホワイトニング」を併用する「デュアルホワイトニング」をご提案しました。
オフィスホワイトニングは即効性があり、短期間で理想の白さを獲得できる治療方法です。
ホームホワイトニングは効果の現れ方は穏やかですが、歯の白さを長期間維持することができます。
2種類のホワイトニングを併用し効率的に歯を白くすることで、カウンセリングで一緒に決めた目標色へ到達できることをご説明し、同意いただきました。
術後の経過・現在のご様子
歯が美しい白さになり、明るく清潔感のある口元になりました。
患者様にも「人前でも自信を持って話せるようになった。更に白い歯を目指したい」と大変お喜びいただき、モチベーションのアップにもつながりました。
現在もホワイトニングの効果を維持するために、定期的にご来院いただいています。
この治療のリスクについて
個人差がありますが、治療中や治療後に歯がしみる場合があります。
- 年齢・性別40代男性
- 診療種別自由診療
- 治療期間の目安2ヶ月
- 《内訳》
- デュアルホワイトニング 98,000円
- 治療期間の目安2ヶ月
※掲載された情報は治療の効果を保証するものではありません。
ご利用により万一何らかの損害が発生したとしても、当サイトは一切責任を負いかねますのでご了承ください。








