
20代女性「前歯のガタガタが気になる」上下の前歯がデコボコに並ぶ「叢生」を、マウスピース型矯正装置「インビザラインフル」で歯を抜かずに改善した症例


ご相談内容
「歯並びがガタガタしているのが気になる」とご相談いただきました。
カウンセリング・診断結果
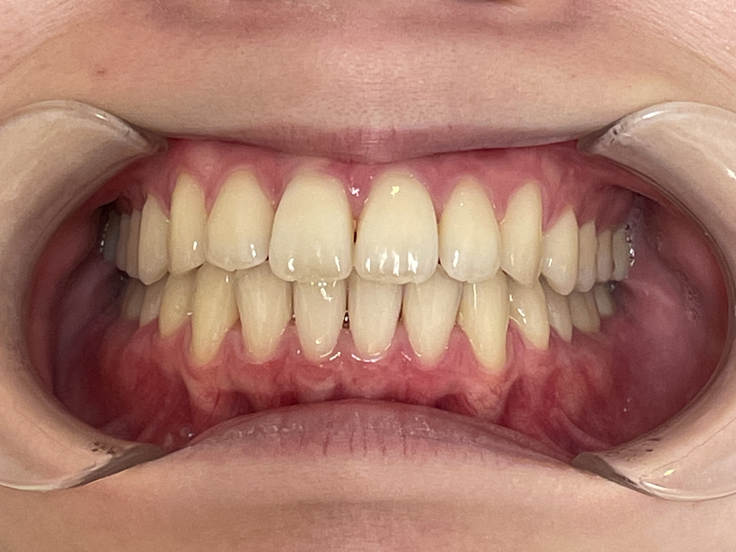
拝見したところ、上の左右の前歯2本(中切歯/1番)と下の左右の前歯4本(中切歯、側切歯/2番)が、重なり合ってデコボコに生えている「叢生(そうせい)」でした。
患者様は「歯を抜かずに治療したい」とご希望されました。
行ったご提案・治療内容
患者様のご希望通り、抜歯をせずに治療が行えるマウスピース矯正の「インビザラインフル」をご提案し、ご選択いただきました。
インビザラインフルは、マウスピースを無制限に作製することができるため、患者様がご納得いくまで安心して治療を受けていただきました。
術後の経過・現在のご様子
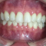
前歯のデコボコがなくなり、歯が適正な位置に並びました。
患者様にも「歯並びが改善されて嬉しい。来院回数も少なくすんで良かった」と大変喜んでいただきました。
現在は、定期的なメンテナンスにご来院いただいております。
この治療のリスクについて
・決められたアライナーの装着時間を守らないと、次のアライナーに交換できず、治療が遅れたり十分な効果が得られない場合があります。
・歯を抜いた後に矯正する場合や、あごの骨格に問題がある場合など、マウスピース矯正に対応していない症例は、治療が困難な可能性もあります。
・治療による歯の移動に伴って、痛みや違和感を感じる場合があります。
・他の矯正治療と同様に、正しく歯磨きやメンテナンスを行わないと虫歯や歯周病のリスクが高まります。
- 年齢・性別10代男性
- 診療種別自由診療
- 治療期間の目安1年9か月
治療費総額の目安705,000円
- 治療期間の目安1年9か月


※掲載された情報は治療の効果を保証するものではありません。
ご利用により万一何らかの損害が発生したとしても、当サイトは一切責任を負いかねますのでご了承ください。








