
15歳男の子「前歯の隙間が気になる」間隔の空いた歯並びを、取り外し式のマウスピース型矯正装置「インビザラインフル」で後戻りしないように治療した症例


ご相談内容
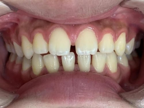
「前歯の隙間が気になる」とご相談いただきました。
カウンセリング・診断結果
拝見したところ、歯と歯の間に隙間が生じる「歯列空隙(しれつくうげき)」が上下の前歯を中心に認められました。
歯を舌で押してしまう癖もあり、歯並びの乱れを助長していました。
また、患者様は当時15歳で下あごが発育途中であり、歯並びを整えた後の後戻りが生じる可能性がありました。
行ったご提案・治療内容
取り外し式のマウスピース型矯正装置「インビザラインフル」で歯並びを整える治療をご提案しました。
全体の歯をしっかりと動かせるインビザラインフルを用いることで、治療後の後戻りを予防できることをご説明し、同意いただきました。
治療の際は、舌の癖を改善させるための指導も都度行い、より歯並びが安定するように促しました。
術後の経過・現在のご様子
歯が隙間なく綺麗に並び、美しい口元になりました。後戻りもなく順調に経過しています。
患者様にも「見た目が気にならなくなって嬉しい」と大変お喜びいただきました。
現在も定期的なメンテナンスでご通院いただいています。
この治療のリスクについて
・決められたアライナーの装着時間を守らないと、次のアライナーに交換できず、治療が遅れたり十分な効果が得られない場合があります。
・歯を抜いた後に矯正する場合や、あごの骨格に問題がある場合など、マウスピース矯正に対応していない症例は、治療が困難な可能性もあります。
・治療による歯の移動に伴って、痛みや違和感を感じる場合があります。
・他の矯正治療と同様に、正しく歯磨きやメンテナンスを行わないと虫歯や歯周病のリスクが高まります。
- 年齢・性別10代男性
- 診療種別自由診療
- 治療期間の目安1年9か月
治療費総額の目安705,000円
- 治療期間の目安1年9か月


※掲載された情報は治療の効果を保証するものではありません。
ご利用により万一何らかの損害が発生したとしても、当サイトは一切責任を負いかねますのでご了承ください。








