
70代女性「入れ歯が目立つ」口を開けると金属が見える保険の入れ歯を、金属を使わない入れ歯「ノンメタルクラスプデンチャー」で自然な見た目にした症例


ご相談内容
「入れ歯が目立つのが気になるので作り直したい」とご相談いただきました。
カウンセリング・診断結果
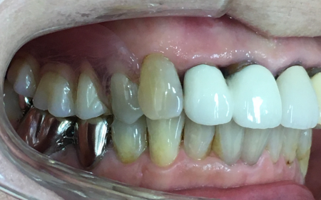
拝見したところ、右上の奥歯3本(第2小臼歯/5番、第1大臼歯/6番、第2大臼歯/7番)が欠損しており、取り外し式で保険の「部分入れ歯」が入っていました。
保険の入れ歯は、入れ歯を支えるため残っている歯に固定をするバネ「クラスプ」が金属で、お口を開けると金属が見えることを気にされていました。
患者様からは「目立たないようにしてほしい」とご希望がありました。
行ったご提案・治療内容
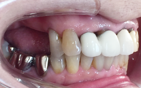
金属を使わない入れ歯「ノンメタルクラスプデンチャー」をご提案しました。
ノンメタルクラスプデンチャーは、クラスプも歯茎と同じピンク色になるため目立たないことをご説明し、同意いただきました。
術後の経過・現在のご様子
入れ歯の金属のバネが無くなったことで、口を開けた時も目立たなくなりました。
患者様にも「自然な見た目になって嬉しい」と大変ご満足いただきました。
現在は定期検診でご来院いただき、経過を観察しています。
この治療のリスクについて
・着脱式のため、食後の清掃が必要です。
・最初のうちは異物感があり、慣れるまで時間がかかる場合があります。
・慣れるまでは、入れ歯の裏側の粘膜に傷ができる場合があります。
- 年齢・性別70代女性
- 診療種別自由診療
- 治療期間の目安3か月
治療費総額の目安130,000円
- 治療期間の目安3か月
※掲載された情報は治療の効果を保証するものではありません。
ご利用により万一何らかの損害が発生したとしても、当サイトは一切責任を負いかねますのでご了承ください。








