
10代女性「前歯の突出が気になる」上の歯が前方に出ている「上顎前突」とデコボコの歯並びを、前歯の部分矯正が可能なマウスピース型矯正装置「インビザラインGO」で改善した症例


ご相談内容
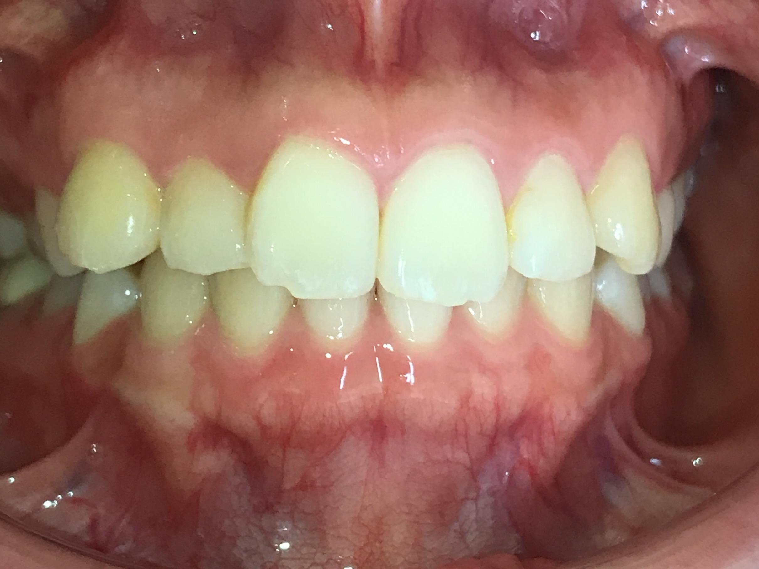
「前歯の突出が気になる」とご相談いただきました。
カウンセリング・診断結果
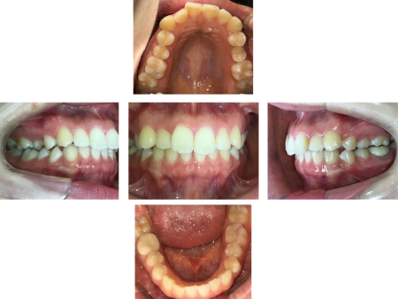
拝見したところ、歯が正常な位置からずれたりねじれたりしてデコボコに生えている「叢生(そうせい)」が上下の前歯に確認されました。
また、上の前歯が前方に突出している「上顎前突」も認められ、前歯でしっかり噛めていない状態でした。
精密な検査の結果、歯並びの問題は前歯のみにとどまっており、奥歯の位置関係や噛み合わせは適切であると診断しました。
行ったご提案・治療内容
前歯の部分矯正が可能なマウスピース型装置「インビザラインGO」で歯並びを整える治療をご提案しました。
インビザラインGOを用いて前歯を中心とする上下20本の歯を動かすことで、奥歯の位置を変えずに治療できることをご説明し、同意いただきました。
治療の際は、上の前歯の突出がしっかりと抑えられるように綿密な治療計画を立ててから、患者様専用のマウスピースで歯を動かしていきました。
術後の経過・現在のご様子
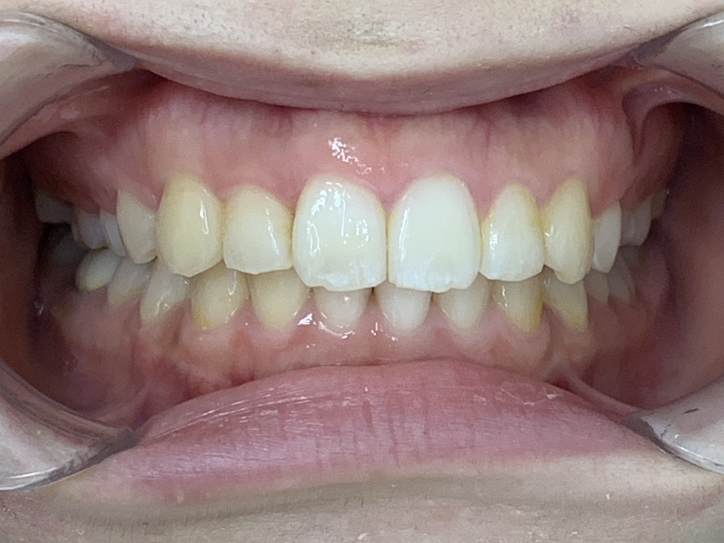
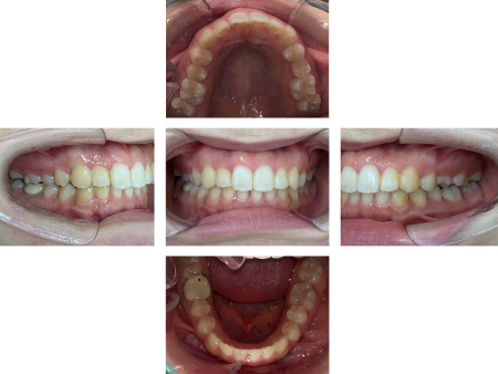
歯が適切な位置に並んで美しい見た目になり、前歯でしっかり噛めるようになりました。
患者様にも「人前に出る職業なので、仕事のときも自信を持てるようになった」と大変ご満足いただきました。
現在も定期的なメンテナンスでご来院いただいております。
この治療のリスクについて
・決められたアライナーの装着時間を守らないと、次のアライナーに交換できず、治療が遅れたり十分な効果が得られない場合があります。
・歯を抜いた後に矯正する場合や、あごの骨格に問題がある場合など、マウスピース矯正に対応していない症例は、治療が困難な可能性もあります。
・治療による歯の移動に伴って、痛みや違和感を感じる場合があります。
・他の矯正治療と同様に、正しく歯磨きやメンテナンスを行わないと虫歯や歯周病のリスクが高まります。
- 年齢・性別10代女性
- 診療種別自由診療
- 治療期間の目安7か月
治療費総額の目安425,000円
- 治療期間の目安7か月


※掲載された情報は治療の効果を保証するものではありません。
ご利用により万一何らかの損害が発生したとしても、当サイトは一切責任を負いかねますのでご了承ください。








