
40代男性「部分的に黄色いのが気になる」変色した古い保険の詰め物をセラミックが混じった歯科用プラスチックを詰める「ダイレクトボンディング」で治し、自分の歯のような見た目で違和感がなくなった症例


ご相談内容
「部分的に黄色いのが気になる」とご相談いただきました。
カウンセリング・診断結果
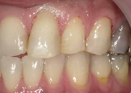
拝見すると、左上の前歯3本(中切歯/1番、側切歯/2番、犬歯/3番)の根元に古い保険の詰め物がしてあり、変色していました。
ホワイトニングをした後だったため、根元の色がより目立っていました。
行ったご提案・治療内容
黄色い箇所を目立たなくするため、新たに歯科用プラスチックで根元を覆うことをご提案しました。
その中で、保険の詰め物だと変色が起きやすいため、セラミックが混ざった変色がしにくく色も豊富な歯科用プラスチックを詰める「ダイレクトボンディング」をおすすめし、ご選択されました。
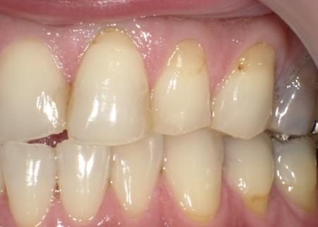
まずはじめに、古い詰め物を除去し、新しい歯面を露出させました。
その後、3本ともそれぞれの歯の色に合った詰め物をし、光で硬化させました。
最後に、段差がないようきれいに磨きました。
術後の経過・現在のご様子
変色していた箇所が詰め直され、ご自身の歯に合った色で見た目もきれいになりました。
また、詰め物の段差もなくなったため、汚れがつきにくくなりました。
患者様からは、「自分の歯のようなきれいな詰め物が入って、見た目も違和感がない」と大変ご満足いただけました。
現在、詰め物に問題はなく、定期検診にご通院されています。
この治療のリスクについて
・強い力や衝撃が加わった場合、割れたり欠けたりする可能性があります。
・広範囲にわたって修復が必要な場合は、適用できない可能性があります。
・自費診療(保険適用外治療)です。
- 年齢・性別40代男性
- 診療種別自由診療
- 治療期間の目安1回
治療費総額の目安60,000円
- 治療期間の目安1回
※掲載された情報は治療の効果を保証するものではありません。
ご利用により万一何らかの損害が発生したとしても、当サイトは一切責任を負いかねますのでご了承ください。








