
70代女性「被せ物が取れた」虫歯が進行していた歯を抜歯し、金属を使わない入れ歯「ノンメタルクラスプデンチャー」で自然な見た目にした症例


ご相談内容
「被せ物が取れた」とご相談いただきました。
カウンセリング・診断結果
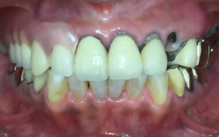
拝見したところ、左上の前歯(犬歯/3番)の被せ物が取れていました。
残っている歯の根っこは虫歯が進行していて、保存することは難しい状態でした。
患者様からは「目立たないように治したい」とご希望がありました。
行ったご提案・治療内容
抜歯の必要性をご説明し、同意いただきました。
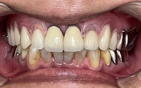
また、患者様のご希望に沿って、金属を使わない審美性の高い部分入れ歯「ノンメタルクラスプデンチャー」の装着をご提案し、こちらも同意いただきました。
抜歯後、傷口の回復を確認してから型取り「印象採得」を行い、ノンメタルクラスプデンチャーを装着しました。
術後の経過・現在のご様子
痛みや違和感もなく、自然な見た目になりました。
患者様にも「目立たなくて嬉しい」と大変ご満足いただきました。
現在は定期検診でご来院いただき、経過を観察しています。
この治療のリスクについて
・着脱式のため、食後の清掃が必要です。
・最初のうちは異物感があり、慣れるまで時間がかかる場合があります。
・慣れるまでは、入れ歯の裏側の粘膜に傷ができる場合があります。
- 年齢・性別70代女性
- 診療種別自由診療
- 治療期間の目安4か月
治療費総額の目安200,000円
- 治療期間の目安4か月
※掲載された情報は治療の効果を保証するものではありません。
ご利用により万一何らかの損害が発生したとしても、当サイトは一切責任を負いかねますのでご了承ください。








