インビザラインGO治療 症例

10代女性「前歯のガタガタが気になる」前歯の歯並びを治すのに適したマウスピース型矯正装置「インビザラインGO」で以前よりきれいな見た目になり物が噛みやすくなった症例

ご相談内容

「前歯のガタガタが気になる」とご相談いただきました。

カウンセリング・診断結果

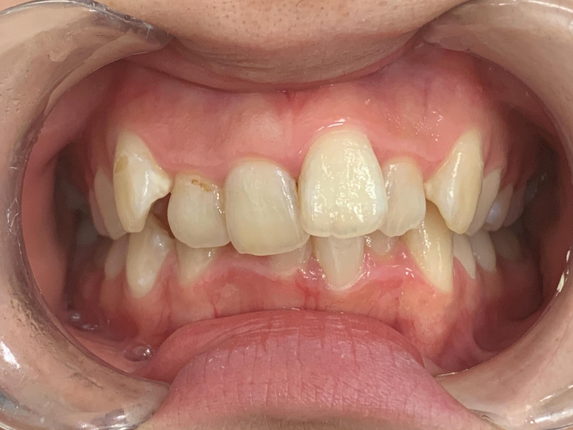
拝見すると、上下左右の前歯12本(中切歯/1番、側切歯/2番、犬歯/3番)が前後に重なり合っている「叢生(そうせい)」でした。

患者様からは「今よりも歯並びが改善できれば良い」とご希望がありました。

行ったご提案・治療内容

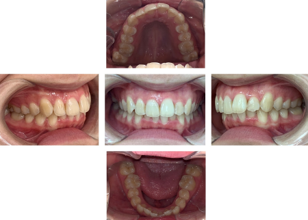
重なっている箇所やガタガタ具合が多いため、全体的に歯を動かしてきれいに並べることをご提案しました。

しかし、前歯の中心線「正中」を上下で一致させるなど細かなご要望はなかったため、前歯の歯並びを治すのに適したマウスピース型矯正装置「インビザラインGO」での治療をご選択されました。

歯の移動量が多かったため、計画通りに治療が進むように注意して経過を見ました。

矯正治療終了後は、歯が元の位置に戻る「後戻り」を予防する装置「リテーナー」を使用するようご説明しました。

術後の経過・現在のご様子

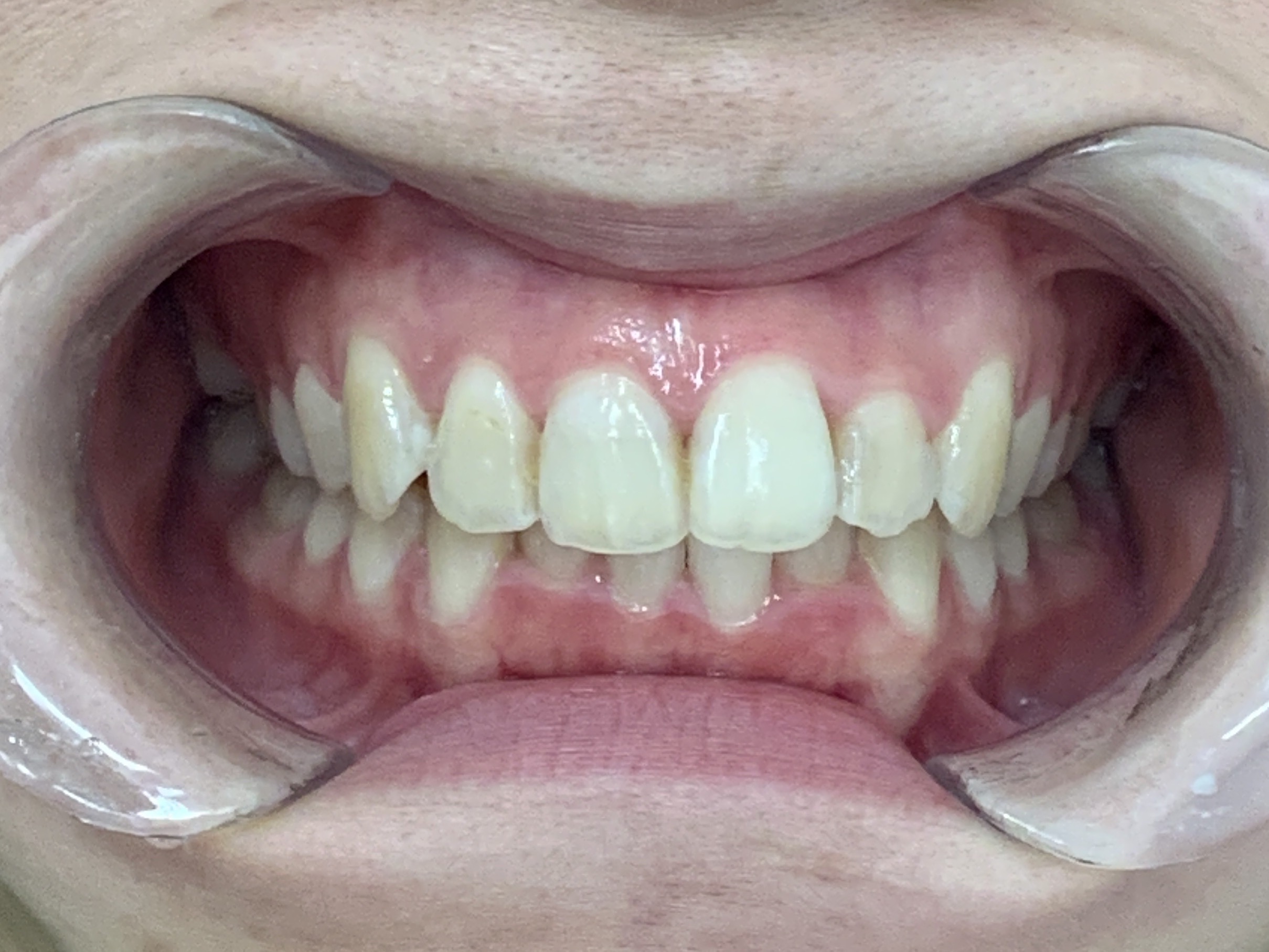
歯並びが改善し、見た目が良くなっただけでなく、前歯で物が噛みやすく歯磨きもしやすくなりました。
下顎の叢生が少し残りましたが、上顎はきれいに並びました。

患者様からは「以前の歯並びよりきれいになって嬉しい」とご満足いただけました。

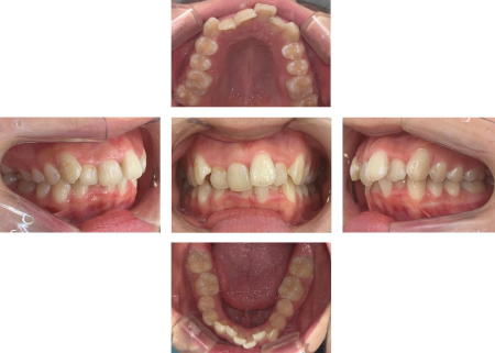
現在、後戻りはなく定期検診にご通院いただき経過を観察しています。

この治療のリスクについて

・決められたアライナーの装着時間を守らないと、次のアライナーに交換できず、治療が遅れたり十分な効果が得られない場合があります。
・歯を抜いた後に矯正する場合や、あごの骨格に問題がある場合など、マウスピース矯正に対応していない症例は、治療が困難な可能性もあります。
・治療による歯の移動に伴って、痛みや違和感を感じる場合があります。
・他の矯正治療と同様に、正しく歯磨きやメンテナンスを行わないと虫歯や歯周病のリスクが高まります。

  1. 年齢・性別10代女性
  2. 診療種別自由診療
    1. 治療期間の目安8か月
      治療費総額の目安425,000円

※掲載された情報は治療の効果を保証するものではありません。
ご利用により万一何らかの損害が発生したとしても、当サイトは一切責任を負いかねますのでご了承ください。

PC・スマホでかんたんインターネット予約
三井アウトレットパークバス停徒歩5分 本院ご予約
高速出口すぐそばのショッピングモール内 大曲医院ご予約
札幌中心街、チカホから直結のmoyuk2F moyuk Sapporo院ご予約
オススメの関連記事