
60代女性「下の前歯のガタつきが大きくなってきた」歯が重なり合って生えている「叢生」を、前歯の矯正に特化したマウスピース型矯正装置「インビザラインGO」で重点的に治療した症例


ご相談内容
「下の前歯のガタつきが大きくなってきた」とご相談いただきました。
カウンセリング・診断結果
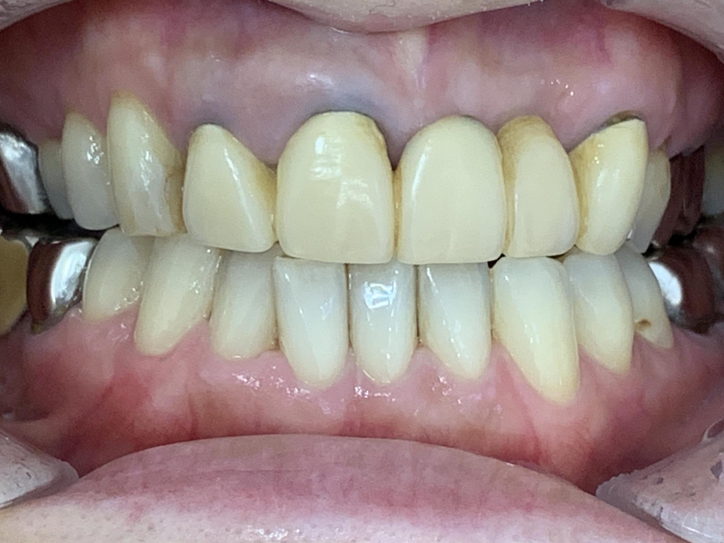
拝見したところ、歯が傾いたりねじれたりして生えている「叢生(そうせい)」が下の前歯に認められました。
特に右下の前歯(中切歯/1番)は傾きが大きく、隣の歯と重なり合っている状態でした。
詳しい検査を行って奥歯の噛み合わせや位置も確認したところ、こちらは特に問題ありませんでした。
また、患者様は「気になっている下の前歯だけを治したい」とご希望でした。
行ったご提案・治療内容
取り外し式のマウスピース型矯正装置「インビザラインGO」で歯並びを整える治療をご提案しました。
前歯の矯正に特化したインビザラインラインGOを用いることで、下の前歯だけを治療できることをご説明し、了承いただきました。
治療の際は、患者様専用のマウスピースを毎日一定時間装着していただくようご指導し、歯を動かしていきました。
術後の経過・現在のご様子
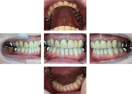
下の前歯が適切な位置に並び、自然で美しい見た目になりました。
患者様にも「歯並びが綺麗に整ったことが一目でわかる」と大変ご満足いただきました。
治療後は定期的なメンテナンスを継続されており、口腔内の健康に関する意識を高くお持ちいただけています。
この治療のリスクについて
・決められたアライナーの装着時間を守らないと、次のアライナーに交換できず、治療が遅れたり十分な効果が得られない場合があります。
・歯を抜いた後に矯正する場合や、あごの骨格に問題がある場合など、マウスピース矯正に対応していない症例は、治療が困難な可能性もあります。
・治療による歯の移動に伴って、痛みや違和感を感じる場合があります。
・他の矯正治療と同様に、正しく歯磨きやメンテナンスを行わないと虫歯や歯周病のリスクが高まります。
- 年齢・性別60代女性
- 診療種別自由診療
- 治療期間の目安3か月
治療費総額の目安195,000円
- 治療期間の目安3か月


※掲載された情報は治療の効果を保証するものではありません。
ご利用により万一何らかの損害が発生したとしても、当サイトは一切責任を負いかねますのでご了承ください。








