
30代女性「前歯の隙間が気になる」歯の真ん中に隙間が生じる「正中離開」を、マウスピース型矯正装置「インビザラインGO」で前歯だけを動かして改善した症例


ご相談内容
「前歯の隙間が気になる」とご相談いただきました。
カウンセリング・診断結果
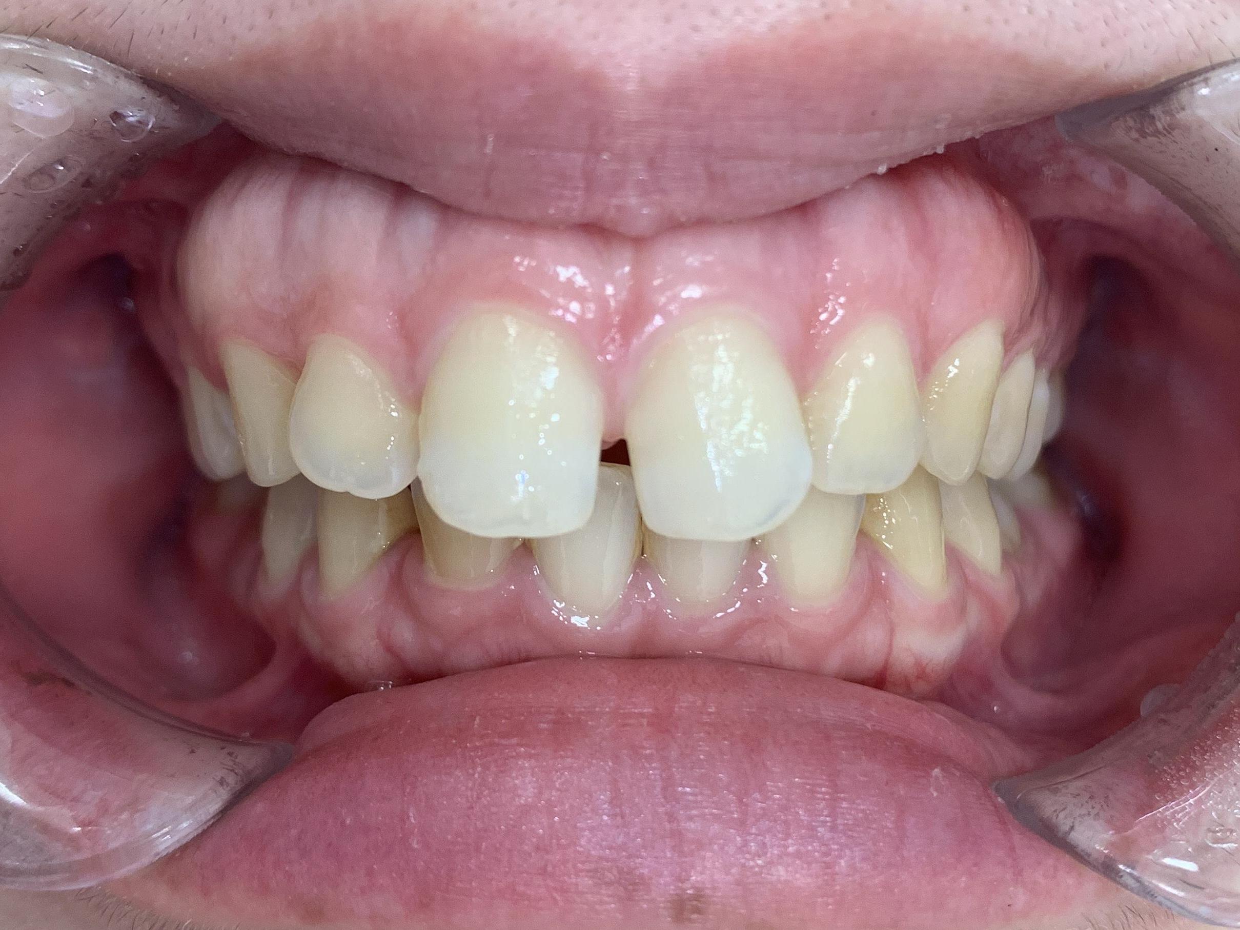
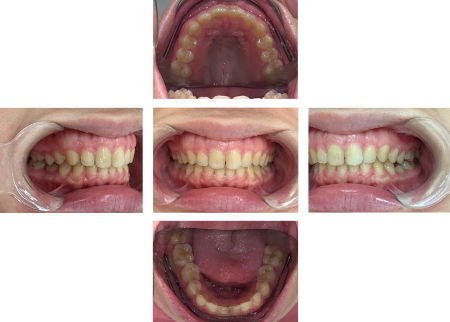
拝見したところ、上の前歯(左右中切歯/1番)の真ん中に隙間が生じる「正中離開(せいちゅうりかい)」が認められました。
また、歯のわずかな位置のズレやねじれも、上下の前歯を中心に確認できました。
奥歯の噛み合わせや位置は問題なかったため、前歯のみの矯正治療が可能であると診断しました。
行ったご提案・治療内容
取り外し式のマウスピース型矯正装置「インビザラインGO」で歯並びを整える治療をご提案しました。
インビザラインGOは前歯の矯正治療に特化しており、奥歯を動かすマウスピース矯正と比較すると費用や期間を抑えて治療が可能です。
歯並びの乱れが前歯に限局した今回のケースであれば十分対応できることをご説明し、同意いただきました。
マウスピースを作製する際は、歯と歯の隙間が綺麗に閉鎖されるように工夫して設計を行いました。
術後の経過・現在のご様子
歯が隙間なく綺麗に並び、笑った時の口元も自然な見た目になりました。
患者様にも「ずっと気になっていた歯並びを短期間で改善できたので嬉しい」と非常にご満足いただきました。
現在も定期的な検診でご来院いただき、美しい歯並びを維持しておられます。
この治療のリスクについて
・決められたアライナーの装着時間を守らないと、次のアライナーに交換できず、治療が遅れたり十分な効果が得られない場合があります。
・歯を抜いた後に矯正する場合や、あごの骨格に問題がある場合など、マウスピース矯正に対応していない症例は、治療が困難な可能性もあります。
・治療による歯の移動に伴って、痛みや違和感を感じる場合があります。
・他の矯正治療と同様に、正しく歯磨きやメンテナンスを行わないと虫歯や歯周病のリスクが高まります。
- 年齢・性別30代女性
- 診療種別自由診療
- 治療期間の目安半年
治療費総額の目安425,000円
- 治療期間の目安半年


※掲載された情報は治療の効果を保証するものではありません。
ご利用により万一何らかの損害が発生したとしても、当サイトは一切責任を負いかねますのでご了承ください。








