
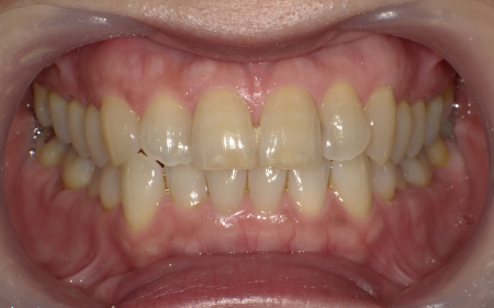
50代女性「歯を白くしたい」全体的に黄味がかって暗い印象だった口元を、歯科医院とご自宅の両方で行う「デュアルホワイトニング」で明るく美しい口元に改善した症例


ご相談内容
「歯を白くしたい」とご相談いただきました。
患者様は、家族の歯と比べると自分の歯が黄色く感じ、それから自分の歯を見るたびに歯の色が気になってしまっている、ということでした。
カウンセリング・診断結果
拝見したところ、全体的に歯に黄ばみがあり、口元が暗い印象でした。
患者様からは「できるだけ早く白くしたい」とご希望がありました。
行ったご提案・治療内容
専用の薬剤を使って歯を白くする「ホワイトニング」をご提案しました。
ホワイトニングには、歯科医院で行う「オフィスホワイトニング」、ご自宅で行う「ホームホワイトニング」、どちらも併用する「デュアルホワイトニング」の3種類があります。
患者様にご説明したところ、即効性があり白さが長持ちするデュアルホワイトニングを選択されました。
術後の経過・現在のご様子
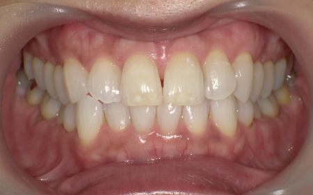
全体的に歯の黄ばみが改善され、明るく美しい口元になりました。
患者様にも「今と比べると自分の以前の歯が黄色くてびっくりした。白くなって嬉しい」と大変お喜びいただきました。
現在は白さを維持するために定期検診にご来院いただき、経過を観察しています。
この治療のリスクについて
個人差がありますが、治療中や治療後に歯がしみる場合があります。
- 年齢・性別50代女性
- 診療種別自由診療
- 治療期間の目安2ヶ月
- 《内訳》
- デュアルホワイトニング 98,000円
- 治療期間の目安2ヶ月
※掲載された情報は治療の効果を保証するものではありません。
ご利用により万一何らかの損害が発生したとしても、当サイトは一切責任を負いかねますのでご了承ください。








