
30代女性「歯の色が気になる」ご自宅で行う「ホームホワイトニング」と歯科医院で行う「オフィスホワイトニング」を併用し、白く明るい歯の色に改善した症例


ご相談内容
「歯の色が気になる」とご相談いただきました。
カウンセリング・診断結果
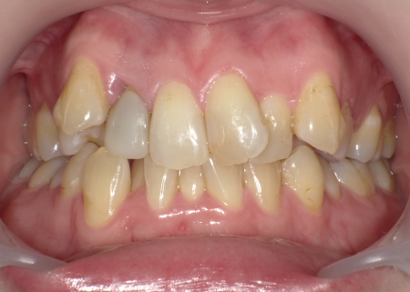
拝見したところ、全体的に歯の黄ばみが見られました。
患者様は「SNSの写真などで白い歯の人を見た時に、自分の歯はどういう風に見えているのかと心配になった。3、4年前から気になっており、最近SNSでホワイトニングの投稿も増えていて、キレイなモデルさんの白い歯を見たら自分もやりたいと思うようになった。自信を持てるようになりたい」とおっしゃっていました。
行ったご提案・治療内容
患者様のご希望通りの歯の白さにするために、ご自宅で行うホームホワイトニングと、歯科医院で行うオフィスホワイトニングの両方を併用する「デュアルホワイトニング」をご提案し、同意いただきました。
オフィスホワイトニングでは、ホワイトニングジェルを塗布して光を照射する施術を実施しました。
ホームホワイトニングは、患者様の歯型で作製したトレーとジェルをお渡しし、ご自宅でホワイトニングを行っていただきました。
術後の経過・現在のご様子
黄ばみがとれ、白くつやのある歯になりました。
患者様からも「歯が白くなり、自信が持てるようになって嬉しい」と大変喜んでいただきました。
現在は、白さを維持するために定期的なメンテナンスにご来院いただいています。
また、白い歯になったことに伴い歯並びもきれいにしたいとご希望されたため、矯正治療を開始しています。
この治療のリスクについて
個人差がありますが、治療中や治療後に歯がしみる場合があります。
- 年齢・性別30代女性
- 診療種別自由診療
- 治療期間の目安2ヶ月
- 《内訳》
- デュアルホワイトニング 98,000円
- 治療期間の目安2ヶ月
※掲載された情報は治療の効果を保証するものではありません。
ご利用により万一何らかの損害が発生したとしても、当サイトは一切責任を負いかねますのでご了承ください。








