
20代女性「前歯で咬めない」矯正の後戻りが原因で上下の前歯に隙間がある「開咬」を、マウスピース型矯正装置「インビザラインフル」でしっかり咬み切れるように改善した症例


ご相談内容
「以前矯正をしていたが、前歯に隙間ができて物が咬めなくなった」と、ご相談いただきました。
カウンセリング・診断結果
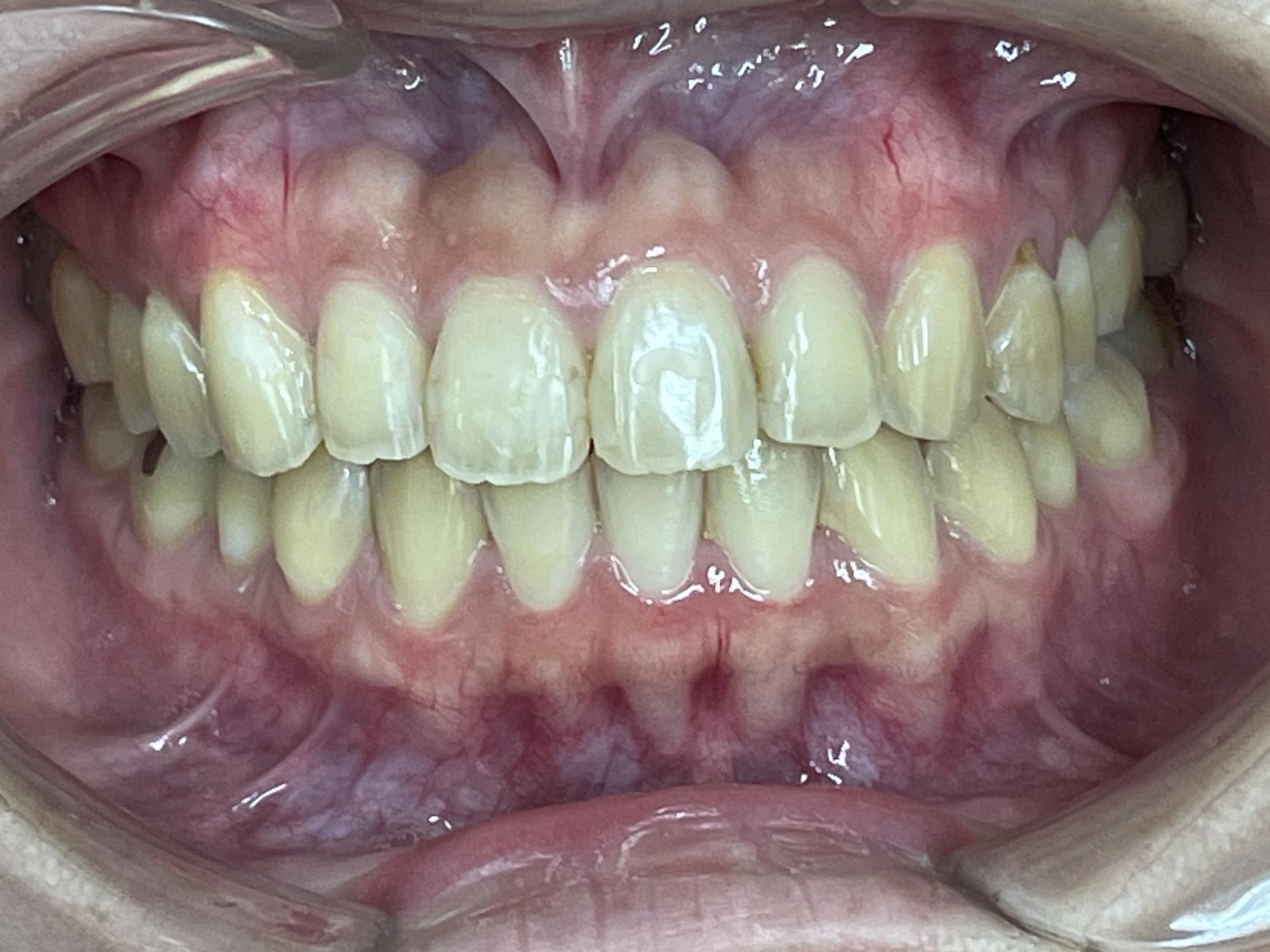
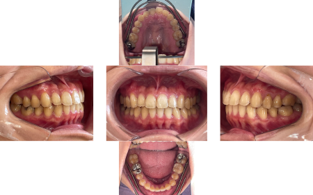
拝見したところ、上下の前歯が咬み合わない「開咬」が認められ、前歯で食べ物を咬み切ることが難しくなっていました。
開咬になった原因として、以前歯並びを整えるために行っていた「矯正」の後戻りが起きたと考えられました。
行ったご提案・治療内容
取り外し式のマウスピース型矯正装置「インビザラインフル」をご提案しました。
インビザラインフルは咬み合わせの高さの修正が可能であり、開咬の改善に適していることをご説明し、同意いただきました。
奥歯の咬み合わせを低くし、前歯が咬み合うよう微調整をしながら、歯を正しい位置に移動させました。
術後の経過・現在のご様子
上下の前歯が咬み合うようになり、お口全体でしっかり咬めるようになりました。
患者様にも「前歯で咬み切れるようになって食事がしやすくなった」と大変ご満足いただきました。
現在は定期検診でご来院いただき、経過を観察しています。
この治療のリスクについて
・決められたアライナーの装着時間を守らないと、次のアライナーに交換できず、治療が遅れたり十分な効果が得られない場合があります。
・歯を抜いた後に矯正する場合や、あごの骨格に問題がある場合など、マウスピース矯正に対応していない症例は、治療が困難な可能性もあります。
・治療による歯の移動に伴って、痛みや違和感を感じる場合があります。
・他の矯正治療と同様に、正しく歯磨きやメンテナンスを行わないと虫歯や歯周病のリスクが高まります。
- 年齢・性別20代女性
- 診療種別自由診療
- 治療期間の目安2年
治療費総額の目安715,000円
- 治療期間の目安2年


※掲載された情報は治療の効果を保証するものではありません。
ご利用により万一何らかの損害が発生したとしても、当サイトは一切責任を負いかねますのでご了承ください。








