
30代女性「ガタガタの前歯が気になる」歯が重なり合ってデコボコに生えている重度の「叢生」と上下反対に噛み合っている「交叉咬合」を、マウスピース型矯正装置「インビザラインフル」で美しい口元に改善した症例


ご相談内容
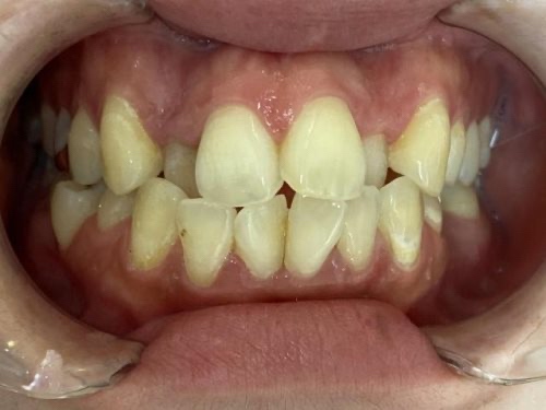
「ガタガタの前歯が気になる」と、ご相談いただきました。
カウンセリング・診断結果
拝見すると、歯が重なり合ってデコボコに生えている「叢生(そうせい)」が、上下の前歯を中心に認められました。
さらに噛み合わせは、上下の歯が反対に噛み合っている「交叉咬合」でした。
また、全体的に歯が黄味がかっており、口元が暗い印象でした。
行ったご提案・治療内容
奥歯からしっかり動かす必要があったため、取り外し式のマウスピース型矯正装置「インビザラインフル」を選択しました。
インビザラインフルは、非抜歯で全ての歯を動かすことができる装置です。
かなり叢生がありましたが、歯を動かすための設計「ステージング」を工夫することで、非抜歯での治療が可能になります。
最後に、専用の薬液を使って歯を白くする「ホワイトニング」も行いました。
術後の経過・現在のご様子
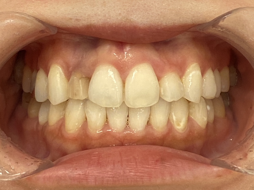
歯並びが整い、正しい位置で噛めるようになりました。
また、歯の黄色味も改善され、口元が明るい印象になりました。
患者様にも「口元に自信が持てるようになった」と大変お喜びいただきました。
現在は定期検診でご来院いただき、経過を観察しています。
この治療のリスクについて
・決められたアライナーの装着時間を守らないと、次のアライナーに交換できず、治療が遅れたり十分な効果が得られない場合があります。
・歯を抜いた後に矯正する場合や、あごの骨格に問題がある場合など、マウスピース矯正に対応していない症例は、治療が困難な可能性もあります。
・治療による歯の移動に伴って、痛みや違和感を感じる場合があります。
・他の矯正治療と同様に、正しく歯磨きやメンテナンスを行わないと虫歯や歯周病のリスクが高まります。
- 年齢・性別30代女性
- 診療種別自由診療
- 治療期間の目安2年9か月
治療費総額の目安788,000円
- 治療期間の目安2年9か月


※掲載された情報は治療の効果を保証するものではありません。
ご利用により万一何らかの損害が発生したとしても、当サイトは一切責任を負いかねますのでご了承ください。








