
20代女性「前歯のねじれが気になる」上の前歯が左右対称にねじれている「翼状捻転」を、マウスピース型矯正装置「インビザラインフル」で解消し、自然な歯並びにした症例


ご相談内容
遠方からご来院の患者様より「前歯のねじれが気になる」とご相談いただきました。
カウンセリング・診断結果
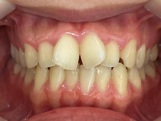
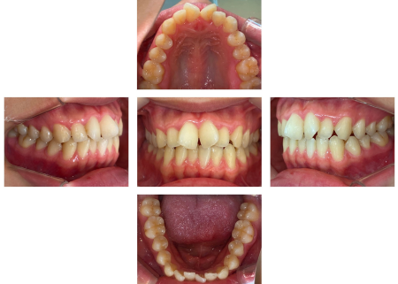
拝見したところ、上の前歯2本(左右中切歯/1番)が左右対称にねじれている「翼状捻転(よくじょうねんてん)」が認められました。
下の前歯に関してもねじれが生じており、噛み合わせも悪くなっていました。
行ったご提案・治療内容
取り外し式のマウスピース型矯正装置「インビザラインフル」で歯並びを整える治療をご提案しました。
全体の歯を動かせるインビザラインフルを用いることで、歯並びのアーチ「歯列弓(しれつきゅう)」を拡大して歯を動かすスペースを確保することが可能です。
そのため、抜歯を行わずにねじれを解消できることをご説明し、同意いただきました。
歯を動かす際は、効果的に圧力をかけるための突起「アタッチメント」を前歯に装着し、翼状捻転をしっかりと改善していきました。
術後の経過・現在のご様子
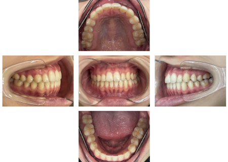
歯がまっすぐ綺麗に並び、噛み合わせも適切になりました。
患者様にも「遠方からの通院だったが、来院回数も少なく治療することができて嬉しい」と非常にお喜びいただきました。
現在は歯の後戻りを防ぐための「保定装置」をご使用いただき、定期的な検診でご来院いただいています。
この治療のリスクについて
・決められたアライナーの装着時間を守らないと、次のアライナーに交換できず、治療が遅れたり十分な効果が得られない場合があります。
・歯を抜いた後に矯正する場合や、あごの骨格に問題がある場合など、マウスピース矯正に対応していない症例は、治療が困難な可能性もあります。
・治療による歯の移動に伴って、痛みや違和感を感じる場合があります。
・他の矯正治療と同様に、正しく歯磨きやメンテナンスを行わないと虫歯や歯周病のリスクが高まります。
- 年齢・性別20代女性
- 診療種別自由診療
- 治療期間の目安1年4か月
治療費総額の目安685,000円
- 治療期間の目安1年4か月


※掲載された情報は治療の効果を保証するものではありません。
ご利用により万一何らかの損害が発生したとしても、当サイトは一切責任を負いかねますのでご了承ください。








