
20代女性「前歯が出ているのが気になる」上の前歯が前方に出ている「上顎前突」と歯がデコボコに生えている「叢生」を、マウスピース型矯正装置「インビザラインGO」で正しい噛み合わせに改善した症例


ご相談内容
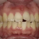
「前歯が出ているのが気になる」と、ご相談いただきました。
カウンセリング・診断結果
拝見したところ、前歯が前方に突出している「上顎前突」でした。
さらに、下の左右前歯4本(中切歯/1番、側切歯/2番)は、歯が重なり合ってデコボコに生えている「叢生(そうせい)」が認められました。
奥歯の噛み合わせに問題はありませんでした。
また、全体的に歯の黄ばみが目立ちました。
行ったご提案・治療内容
歯並びと噛み合わせを改善するために、取り外し式のマウスピース型矯正装置「インビザラインGO」のご提案をし、同意いただきました。
奥歯の噛み合わせに問題がなかったことから、前歯のみを動かすことができるインビザラインGOを選択しました。
正しい位置で噛めるよう治療計画を立て、微調整をしながら歯並びを整えました。
術後の経過・現在のご様子
歯並びが改善し、正しい位置で噛めるようになりました。
患者様にも「口元に自信が持てるようになった」と大変お喜びいただきました。
今後は専用の薬剤を使って歯を白くする「ホワイトニング」を行い、歯の黄ばみを改善した後に、被せ物の治療を行う予定です。
この治療のリスクについて
・決められたアライナーの装着時間を守らないと、次のアライナーに交換できず、治療が遅れたり十分な効果が得られない場合があります。
・歯を抜いた後に矯正する場合や、あごの骨格に問題がある場合など、マウスピース矯正に対応していない症例は、治療が困難な可能性もあります。
・治療による歯の移動に伴って、痛みや違和感を感じる場合があります。
・他の矯正治療と同様に、正しく歯磨きやメンテナンスを行わないと虫歯や歯周病のリスクが高まります。
- 年齢・性別20代女性
- 診療種別自由診療
- 治療期間の目安1年3か月
治療費総額の目安425,000円
- 治療期間の目安1年3か月


※掲載された情報は治療の効果を保証するものではありません。
ご利用により万一何らかの損害が発生したとしても、当サイトは一切責任を負いかねますのでご了承ください。








