
20代女性「デコボコな歯並びが気になる」虫歯や歯周病のリスクが高い乱れた歯並びを、マウスピース型矯正装置「インビザラインフル」で歯を抜かずにきれいに改善した症例


ご相談内容
「デコボコな歯並びが気になる」とご相談いただきました。
カウンセリング・診断結果
拝見したところ、上下左右の前歯12本(中切歯/1番、側切歯/2番、犬歯/3番)はデコボコに並ぶ「叢生(そうせい)」でした。
特に左上犬歯は、上の方から生えて唇側に飛び出している「八重歯」で、下の歯とも噛み合っていない状態でした。
この歯並びを放置すると、歯ブラシがうまく当たらず、虫歯や歯周病になるリスクがありました。
患者様からは「歯を抜かずに治療したい」とご希望がありました。
行ったご提案・治療内容
取り外し式のマウスピース型矯正装置「インビザラインフル」で、歯並びを改善する治療をご提案しました。
全体の歯をしっかり動かせるインビザラインフルを用いることで、患者様の希望に沿って治療できることをご説明し、同意いただきました。
患者様には、治療を順調に進めるために食事と歯磨きの時以外は装着していただくようご指導しました。
計画通りに歯が動いているか、しっかりと確認しながら治療を進めました。
術後の経過・現在のご様子
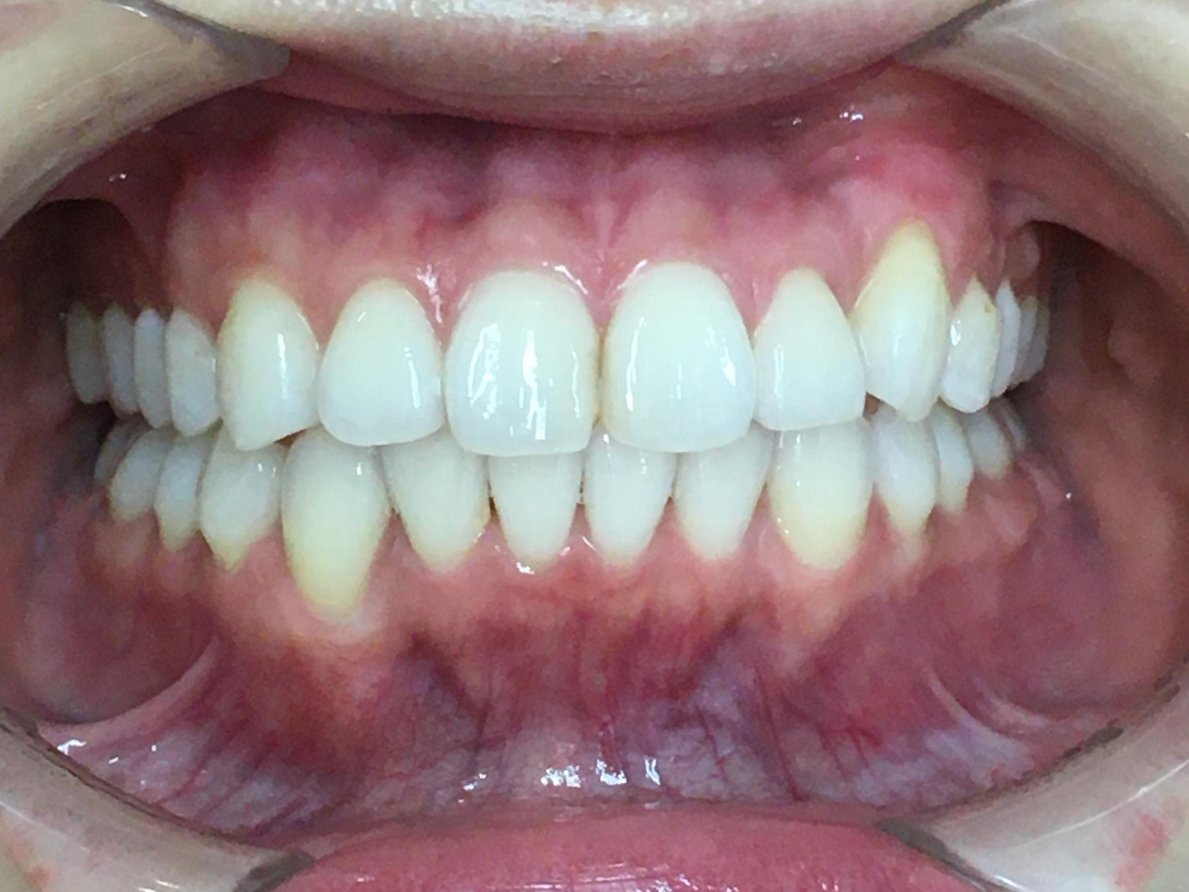
きれいなアーチ状の歯並びになり、八重歯部分の噛み合わせも改善しました。
インビザライン治療中に患者様のご妊娠・ご出産がありましたが、しっかりと治療を進めることができました。
患者様には「歯を抜かずに、とてもきれいな歯並びになって嬉しい」と大変ご満足いただけました。
現在は、定期検診にて経過を確認しています。
この治療のリスクについて
・決められたアライナーの装着時間を守らないと、次のアライナーに交換できず、治療が遅れたり十分な効果が得られない場合があります。
・歯を抜いた後に矯正する場合や、あごの骨格に問題がある場合など、マウスピース矯正に対応していない症例は、治療が困難な可能性もあります。
・治療による歯の移動に伴って、痛みや違和感を感じる場合があります。
・他の矯正治療と同様に、正しく歯磨きやメンテナンスを行わないと虫歯や歯周病のリスクが高まります。
- 年齢・性別20代女性
- 診療種別自由診療
- 治療期間の目安1年8か月
治療費総額の目安690,000円
- 治療期間の目安1年8か月


※掲載された情報は治療の効果を保証するものではありません。
ご利用により万一何らかの損害が発生したとしても、当サイトは一切責任を負いかねますのでご了承ください。








