
30代女性「ガタガタの前歯が気になる」マウスピース型矯正装置「インビザラインフル」で歯並びの幅を広げる「歯列拡大」をし、抜歯せずに歯をきれいに並べて、見た目と噛み合わせを改善した症例


ご相談内容
「ガタガタの前歯が気になる」とご相談いただきました。
カウンセリング・診断結果
拝見すると、上下左右の前歯12本(中切歯/1番、側切歯/2番、犬歯/3番)が前後に重なっている「叢生(そうせい)」でした。
患者様からは「できれば歯は抜きたくない」とご希望がありました。
行ったご提案・治療内容
歯並びの幅を広げる「歯列拡大」を行うことにより、前歯をきれいに並べるスペースができ、歯を抜かずに治療できることをご説明しました。
歯列拡大を行うためのマウスピース型の矯正装置「インビザラインフル」をご提案し、ご了承いただきました。
まずはじめに、患者様のお口にカスタマイズされたマウスピースを作製するために、型取りを行いました。
マウスピース完成後、装着時間や取り扱い方のご説明をし、お渡ししました。
矯正治療中は定期的にご来院いただき、歯列拡大がしっかりできているか注力しながら、チェックと微調整を行いました。
矯正治療終了後は、歯が元の位置に戻ろうとする「後戻り」を防ぐための装置「リテーナー」の使用をおすすめしました。
術後の経過・現在のご様子
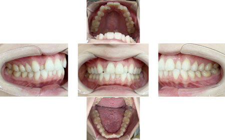
上下左右の前歯がきれいに並び、物を噛みやすく、歯磨きもしやすくなりました。
患者様からは「ガタガタしていたのがきれいになって嬉しい。何も気にせず笑えるようになった」と大変ご満足いただき、素敵な笑顔を見せてくださいました。
現在、後戻りは起きておらず、定期検診にご通院されています。
この治療のリスクについて
・決められたアライナーの装着時間を守らないと、次のアライナーに交換できず、治療が遅れたり十分な効果が得られない場合があります。
・歯を抜いた後に矯正する場合や、あごの骨格に問題がある場合など、マウスピース矯正に対応していない症例は、治療が困難な可能性もあります。
・治療による歯の移動に伴って、痛みや違和感を感じる場合があります。
・他の矯正治療と同様に、正しく歯磨きやメンテナンスを行わないと虫歯や歯周病のリスクが高まります。
- 年齢・性別30代女性
- 診療種別自由診療
- 治療期間の目安1年3か月
治療費総額の目安665,000円
- 治療期間の目安1年3か月


※掲載された情報は治療の効果を保証するものではありません。
ご利用により万一何らかの損害が発生したとしても、当サイトは一切責任を負いかねますのでご了承ください。








