インビザライン治療 症例

40代女性「前歯が飛び出ていて口が閉じにくい」マウスピース矯正「インビザラインフル」で歯を抜かずに内側に引っ込め、口が閉じやすくなった症例

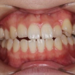
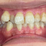
ご相談内容

「前歯が飛び出ていて口が閉じにくい」とご相談いただきました。

カウンセリング・診断結果

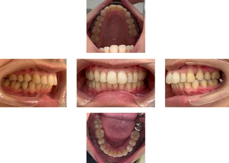
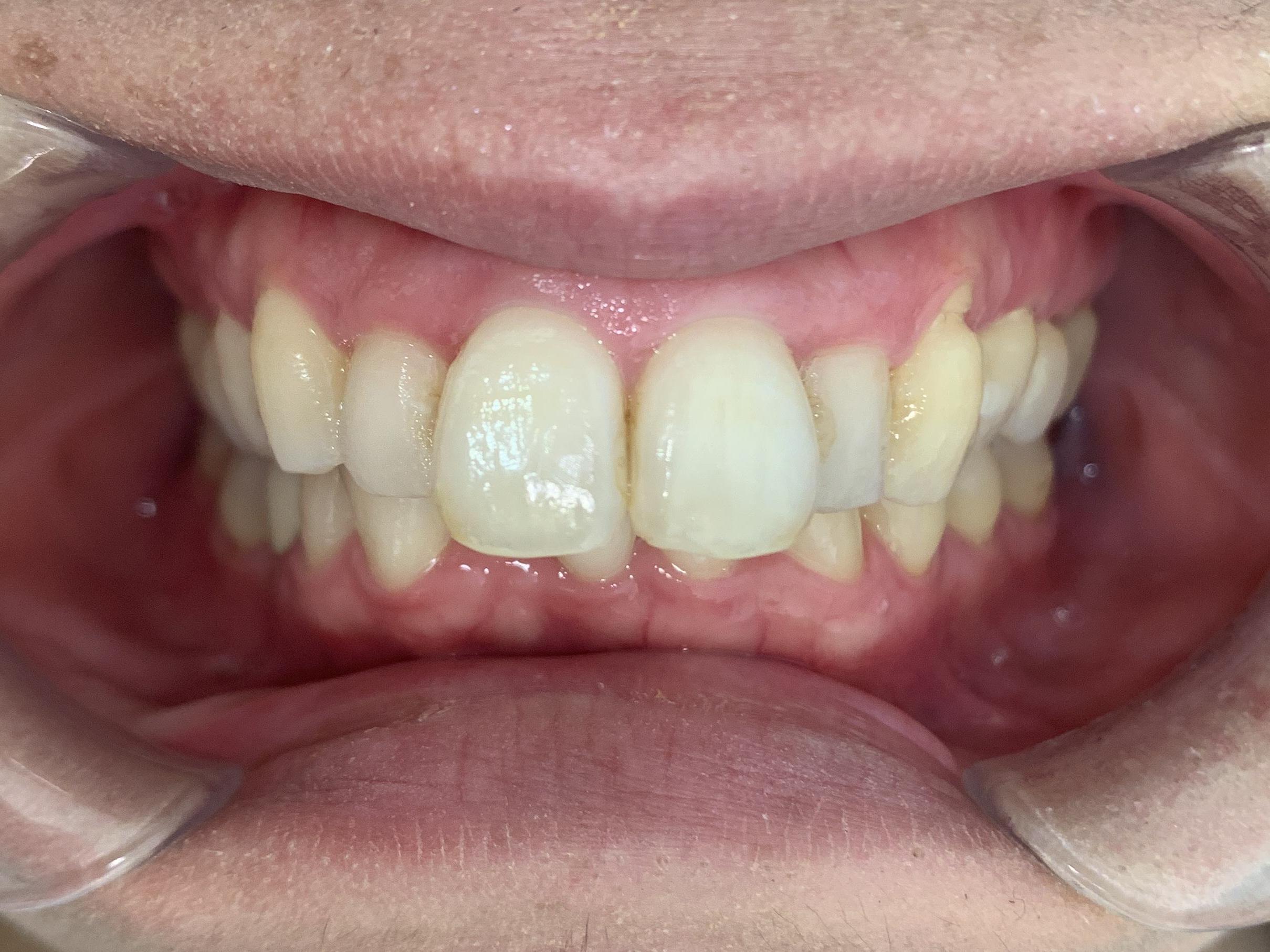
拝見すると、上の左右の前歯6本(中切歯/1番、側切歯/2番、犬歯/3番)が飛び出ている「上顎前突(じょうがくぜんとつ)」、いわゆる出っ歯でした。
そのため、口が閉じにくく、前歯で物がうまく噛み切れない状態でした。

患者様からは「なるべく歯は抜かないでほしい」とご希望がありました。

行ったご提案・治療内容

歯を抜かないで矯正治療をするためには、奥歯を動かしてスペースを作る必要がありました。
そのため、すべての歯を動かす目立たないマウスピース型矯正装置「インビザラインフル」をご提案し、ご選択されました。

まず、患者様の歯並びにカスタマイズされたマウスピースを作るための型取りを行いました。
マウスピース完成後、取り扱い方法や装着時間、お手入れの仕方についてご説明し、お渡ししました。

患者様ご自身でマウスピースを交換していただきながら、歯の動き具合をチェックするため定期的にご通院いただき、都度細かい微調整を行いました。

矯正治療終了後は、歯が元の位置に動く「後戻り」を防ぐための装置「リテーナー」のご使用をおすすめしました。

術後の経過・現在のご様子

飛び出ていた前歯が引っ込み、口が閉じられるようになり、物も噛み切れるようになりました。

患者様からは「以前よりも口が閉じやすくなった。前歯で物も噛めて嬉しい」とお喜びいただけました。

現在、リテーナーを継続してご使用いただき、定期検診でご通院されています。

この治療のリスクについて

・決められたアライナーの装着時間を守らないと、次のアライナーに交換できず、治療が遅れたり十分な効果が得られない場合があります。
・歯を抜いた後に矯正する場合や、あごの骨格に問題がある場合など、マウスピース矯正に対応していない症例は、治療が困難な可能性もあります。
・治療による歯の移動に伴って、痛みや違和感を感じる場合があります。
・他の矯正治療と同様に、正しく歯磨きやメンテナンスを行わないと虫歯や歯周病のリスクが高まります。

  1. 年齢・性別40代女性
  2. 診療種別自由診療
    1. 治療期間の目安1年5か月
      治療費総額の目安790,000円

※掲載された情報は治療の効果を保証するものではありません。
ご利用により万一何らかの損害が発生したとしても、当サイトは一切責任を負いかねますのでご了承ください。

PC・スマホでかんたんインターネット予約
三井アウトレットパークバス停徒歩5分 本院ご予約
高速出口すぐそばのショッピングモール内 大曲医院ご予約
札幌中心街、チカホから直結のmoyuk2F moyuk Sapporo院ご予約
オススメの関連記事