
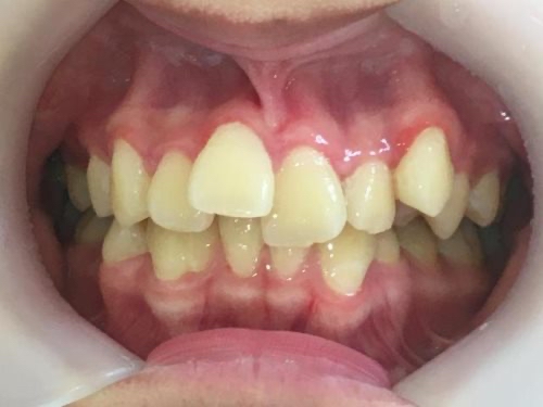
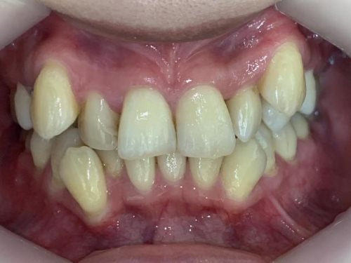
叢生(そうせい)
叢生(そうせい)とはいわゆるガタガタの歯並びのことを指します。
叢生の方は歯が複雑に生えて並んでいることから磨き残しやそれに伴う歯周病のリスクが通常よりも高い傾向にあります。実際に当院に歯並びの相談で来院される方にも歯の磨きずらさを感じている方が多くいらっしゃいます。
さらに磨き残しによって歯と歯の間が虫歯になる可能性も高く、矯正が進むにつれてその虫歯が見えてくる方もいます。


それでは叢生の原因となってしまう原因はどこにあるのか、一緒に考えてみましょう。
原因は?
叢生になる原因として考えられる主なものは、顎の未発達です。
本来口周りの筋肉をしっかりと使えているとあごは正常に発達し、後から生えてくる永久歯が十分に生えることのできるスペース(歯列)が出来上がります。
しかし幼少期から柔らかいものや一口で食べきれるものばかり食べていた人は、顎の成長が不十分になり永久歯が並ぶスペースが狭くなってしまいます。
満員電車を想像してみてください。たくさんの人がいる窮屈な電車の中で、少しのスペースに不自然な体制で人が密集していますよね。歯並びも同じです。十分なスペースがない歯茎に無理やり歯が生えている状態、それが叢生です。

お子さんの歯が横にはえてきたり、他の歯よりも前に生えてきたりしたら顎のスペースが十分ではない可能性が非常に高いため生え変わりの時期には一度歯医者さんで見てもらうことがおすすめです。
当院では悪い癖を治す【マイオブレース】と歯列の拡大をおこなう【床矯正】を両方おこなうことができるプランをご用意しています。歯並びのカウンセリングはいつでも無料でおこなっていますのでお気軽にご相談ください。








