
30代女性「デコボコの歯並びと深い噛み合わせが気になる」歯が重なり合っている叢生と上の歯が下の歯に覆い被さった過蓋咬合を、マウスピース型矯正装置「インビザラインフル」で治療した症例


ご相談内容
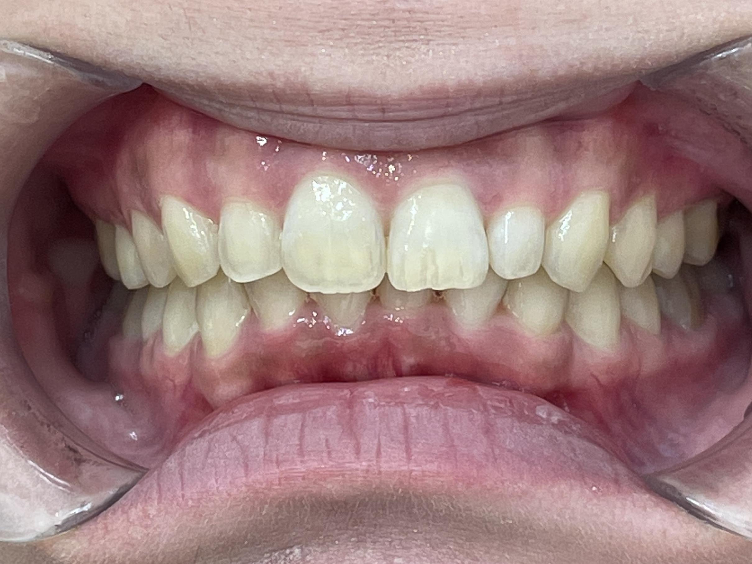
「下の前歯のデコボコと深い噛み合わせが気になる」とご相談いただきました。
カウンセリング・診断結果
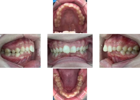
拝見したところ、歯が正常な位置からずれたり傾いたりして生えている「叢生(そうせい)」が全体的に認められました。
特に右下の前歯(中切歯/1番)は大きく重なり合って並んでおり、見た目が気になるとともに、虫歯や歯周病のリスクも高まっていました。
また、上の歯が下の歯に覆い被さった「過蓋咬合(かがいこうごう)」がみられ、適切な位置で噛めなくなっていました。
行ったご提案・治療内容
取り外し式のマウスピース型矯正装置「インビザラインフル」で歯並びを整える治療をご提案しました。
全体の歯を動かせるインビザラインフルで奥歯の噛み合わせも改善することで、叢生と過蓋咬合を同時に解消できることをご説明し、同意いただきました。
術後の経過・現在のご様子
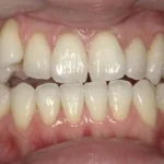
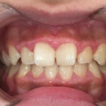
美しく健康的な歯並びになり、正常な位置でしっかり噛めるようになりました。
患者様にも「自然な口元になり、笑顔でいられる時間が増えた」と大変お喜びいただきました。
現在は、歯並びの後戻りを予防する「保定装置」をご使用いただき、定期的に経過を拝見しています。
この治療のリスクについて
・決められたアライナーの装着時間を守らないと、次のアライナーに交換できず、治療が遅れたり十分な効果が得られない場合があります。
・歯を抜いた後に矯正する場合や、あごの骨格に問題がある場合など、マウスピース矯正に対応していない症例は、治療が困難な可能性もあります。
・治療による歯の移動に伴って、痛みや違和感を感じる場合があります。
・他の矯正治療と同様に、正しく歯磨きやメンテナンスを行わないと虫歯や歯周病のリスクが高まります。
- 年齢・性別30代女性
- 診療種別自由診療
- 治療期間の目安2年
治療費総額の目安730,000円
- 治療期間の目安2年


※掲載された情報は治療の効果を保証するものではありません。
ご利用により万一何らかの損害が発生したとしても、当サイトは一切責任を負いかねますのでご了承ください。








