
50代女性「受け口が気になる」咬み合わせが上下逆になっている「反対咬合」と歯がデコボコに生えている「叢生」を、マウスピース型矯正装置「インビザラインフル」で、正しい咬み合わせと歯並びに改善した症例


ご相談内容
「受け口が気になる」と、ご相談いただきました。
カウンセリング・診断結果
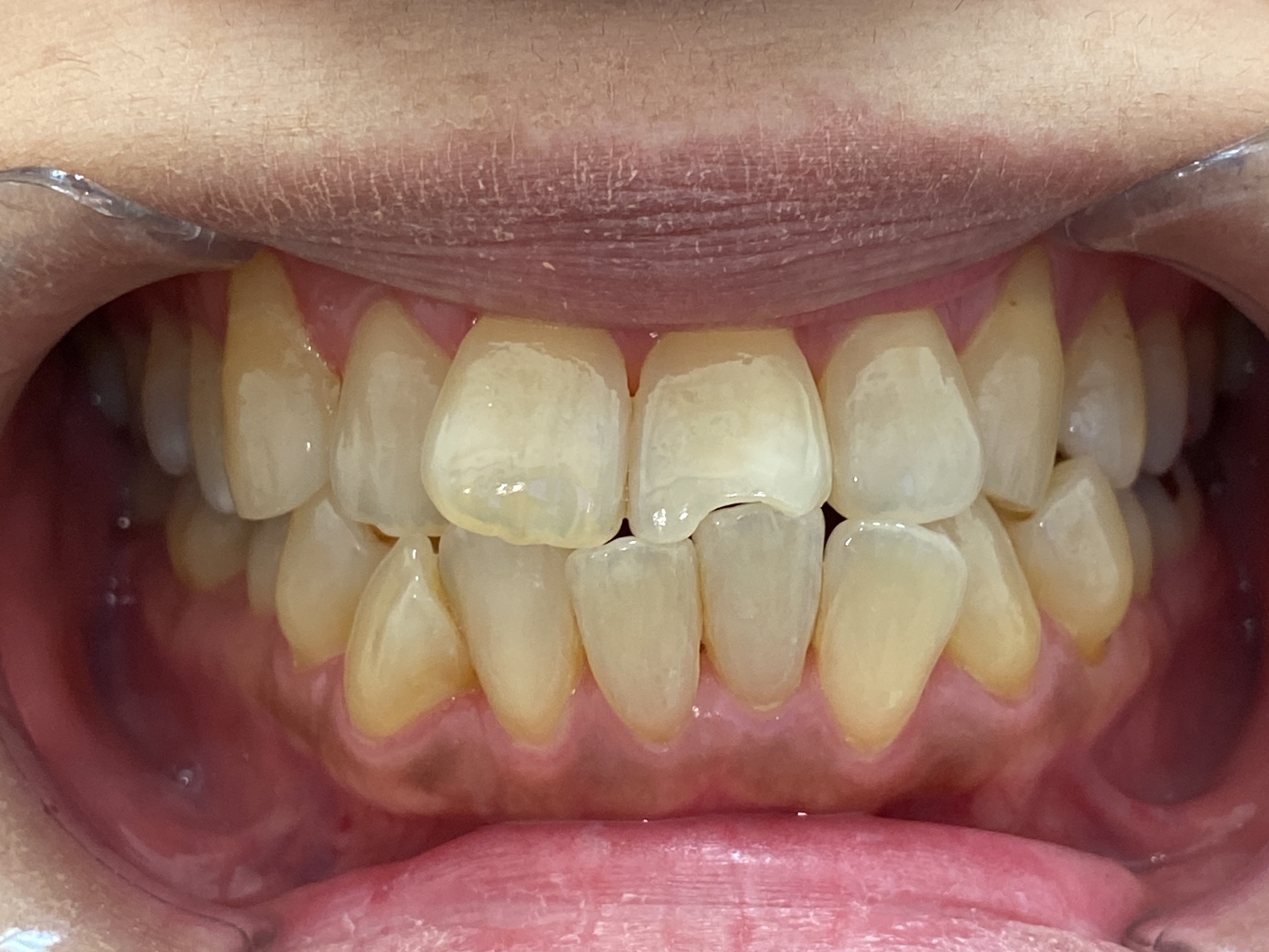
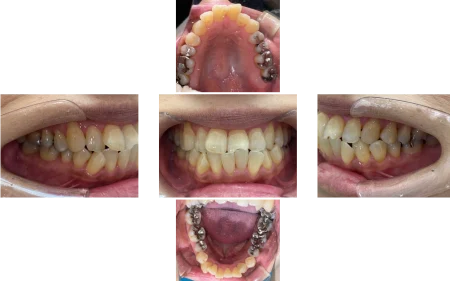
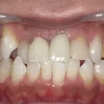
拝見したところ、咬み合わせが上下逆になっている「反対咬合」でした。
上下左右の前歯6本(中切歯/1番、側切歯/2番、犬歯/3番)は、歯が重なり合ってデコボコに生えている「叢生(そうせい)」で、適切な位置からずれているため、咬み合わせが悪くなっていました。
また、全体的に歯が黄味がかっていて、口元が暗い印象でした。
行ったご提案・治療内容
咬み合わせと歯並びを改善するために、取り外し式のマウスピース型矯正装置「インビザラインフル」をご提案しました。
インビザラインフルは、非抜歯で、前歯から奥歯まで全ての歯を動かすことができる装置です。
一般的に反対咬合はマウスピース矯正では治療できないといわれていますが、インビザラインフルは前に出ている歯列を後ろに下げることができるため、正しい咬み合わせに改善することができます。
さらに、専用の薬剤を使って歯を白くする「ホワイトニング」も行いました。
術後の経過・現在のご様子
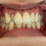
歯並びが整い、正しい位置で咬めるようになりました。
また、歯の黄ばみが改善されたことで口元が明るい印象になり、笑顔がとても素敵になりました。
患者様にも「口元に自信が持てるようになった」と大変お喜びいただきました。
現在は定期検診でご来院いただき、経過を観察しています。
この治療のリスクについて
・決められたアライナーの装着時間を守らないと、次のアライナーに交換できず、治療が遅れたり十分な効果が得られない場合があります。
・歯を抜いた後に矯正する場合や、あごの骨格に問題がある場合など、マウスピース矯正に対応していない症例は、治療が困難な可能性もあります。
・治療による歯の移動に伴って、痛みや違和感を感じる場合があります。
・他の矯正治療と同様に、正しく歯磨きやメンテナンスを行わないと虫歯や歯周病のリスクが高まります。
- 年齢・性別50代女性
- 診療種別自由診療
- 治療期間の目安3年
治療費総額の目安833,000円
- 治療期間の目安3年


※掲載された情報は治療の効果を保証するものではありません。
ご利用により万一何らかの損害が発生したとしても、当サイトは一切責任を負いかねますのでご了承ください。








