
30代女性「上の前歯が出ていて、下の前歯はデコボコしている」前歯の治療に適したマウスピース型矯正装置「インビザラインGO」で、費用を抑えて歯並びと噛み合わせを改善した症例


ご相談内容
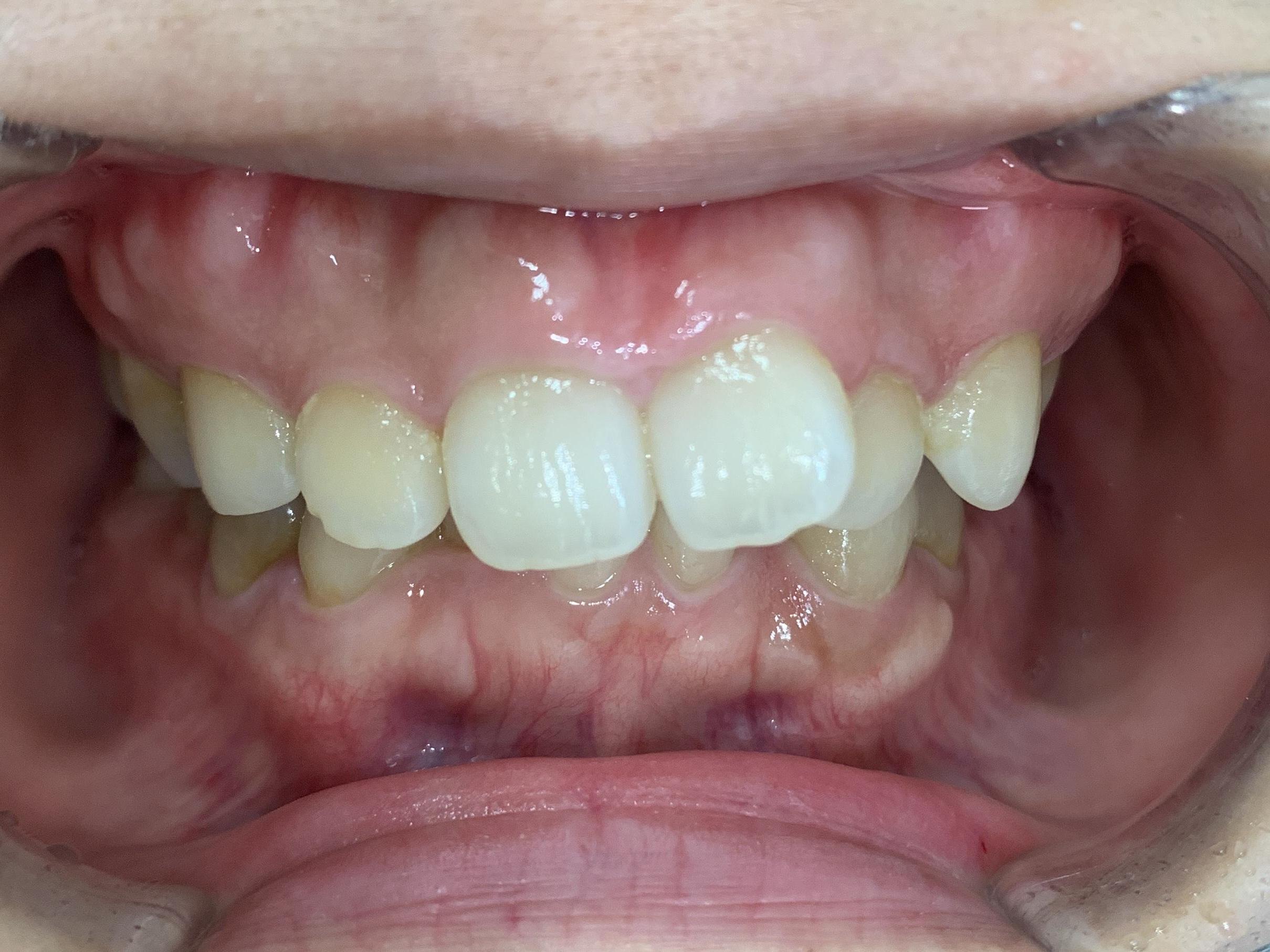
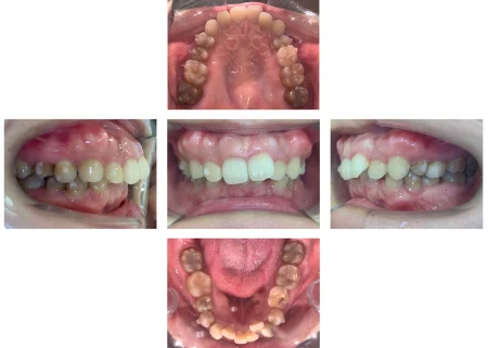
「上の前歯が出ていて、下の前歯はデコボコしている」とご相談いただきました。
カウンセリング・診断結果
拝見したところ、左上の前歯3本(中切歯/1番、側切歯/2番、犬歯/3番)には、前後に重なり合って並ぶ「叢生(そうせい)」が見られました。
下の左右前歯6本(中切歯、側切歯、犬歯)にも叢生が見られました。
左下の前歯(犬歯)には、捻れて生えている「捻転(ねんてん)」も見られました。
また奥歯で噛み合わせた時、上の歯列が下の歯列よりも前に出すぎた状態「上顎前突(出っ歯)」も認められました。
患者様には「できるだけ費用を抑えたい」とのご希望がありました。
行ったご提案・治療内容
前歯の歯列矯正に特化した、マウスピース型矯正装置「インビザラインGO」での治療をご提案しました。
奥歯を含めたすべての歯を動かせる「インビザラインフル」での治療が望ましい歯並びでしたが、「インビザラインGO」では患者様のご希望に沿うことができるため、治療範囲が限られることをご説明した上で同意をいただきました。
順調に治療を進めるために、患者様には食事と歯磨きの時以外はマウスピースを装着するようご指導しました。
治療の際は、デコボコな並びを整えるだけでなく、上顎前突と捻転の改善も考慮しました。
術後の経過・現在のご様子
途中妊娠され、つわりの期間にマウスピースの装着が難しい時期もありましたが、治療を終えることができました。
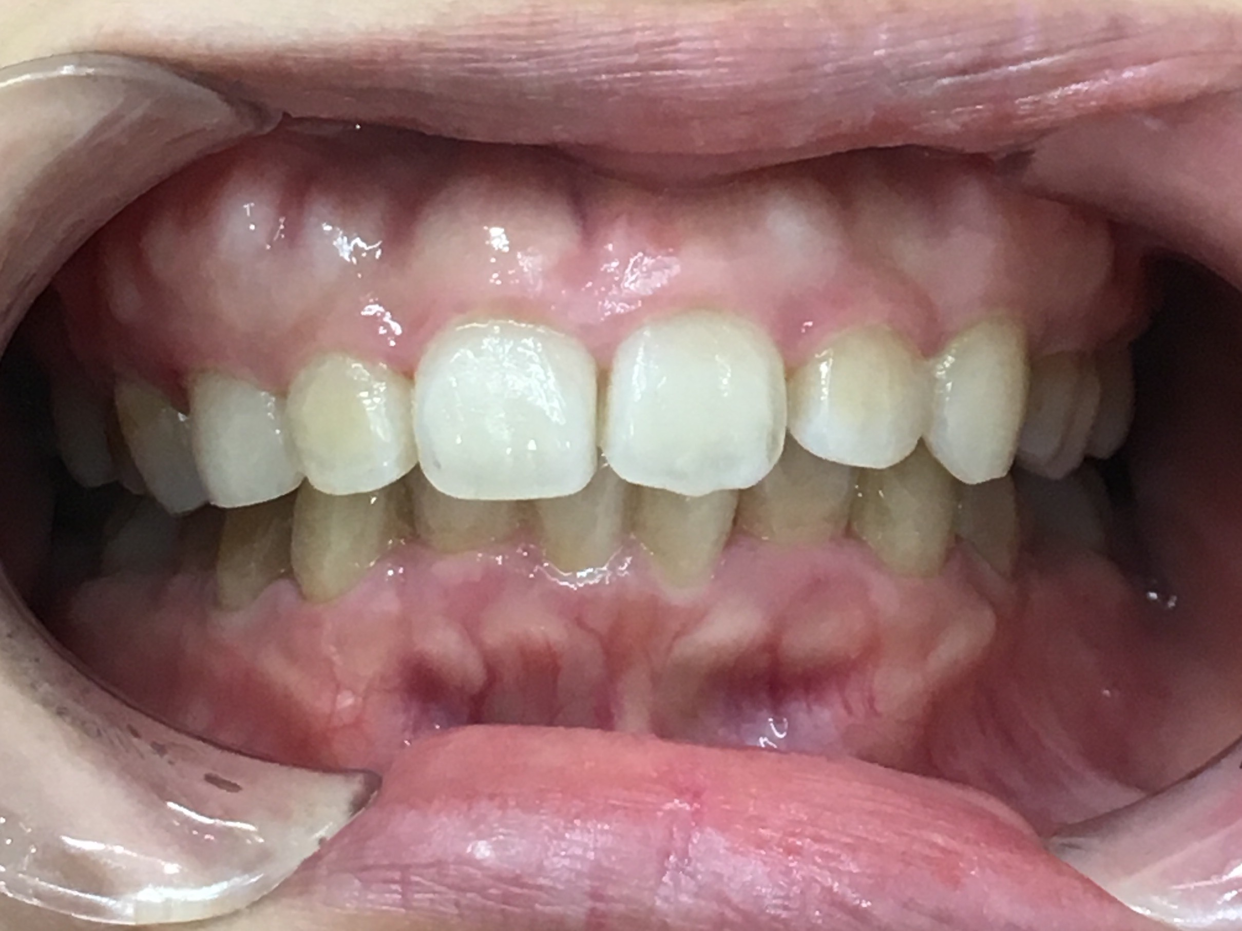
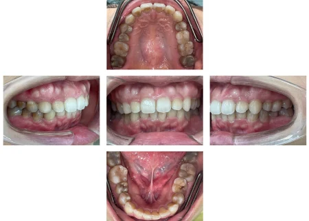
デコボコだった前歯は、きれいな歯並びになりました。
前方に出ていた歯も、捻転も改善されました。
患者様には「希望に沿って治療してもらえて、ここまできれいになって嬉しい」と大変ご満足いただけました。
現在は、定期検診にて経過の確認を行っています。
この治療のリスクについて
・決められたアライナーの装着時間を守らないと、次のアライナーに交換できず、治療が遅れたり十分な効果が得られない場合があります。
・歯を抜いた後に矯正する場合や、あごの骨格に問題がある場合など、マウスピース矯正に対応していない症例は、治療が困難な可能性もあります。
・治療による歯の移動に伴って、痛みや違和感を感じる場合があります。
・他の矯正治療と同様に、正しく歯磨きやメンテナンスを行わないと虫歯や歯周病のリスクが高まります。
- 年齢・性別30代女性
- 診療種別自由診療
- 治療期間の目安1年
治療費総額の目安435,000円
- 治療期間の目安1年


※掲載された情報は治療の効果を保証するものではありません。
ご利用により万一何らかの損害が発生したとしても、当サイトは一切責任を負いかねますのでご了承ください。








