
10代女性「前歯で食べ物が噛めない」歯がデコボコに生えている「叢生」と不適切な噛み合わせを、マウスピース型矯正装置「インビザラインフル」で歯を抜かずに治療した症例


ご相談内容
「前歯で噛めないのが気になる」とご来院いただきました。
カウンセリング・診断結果
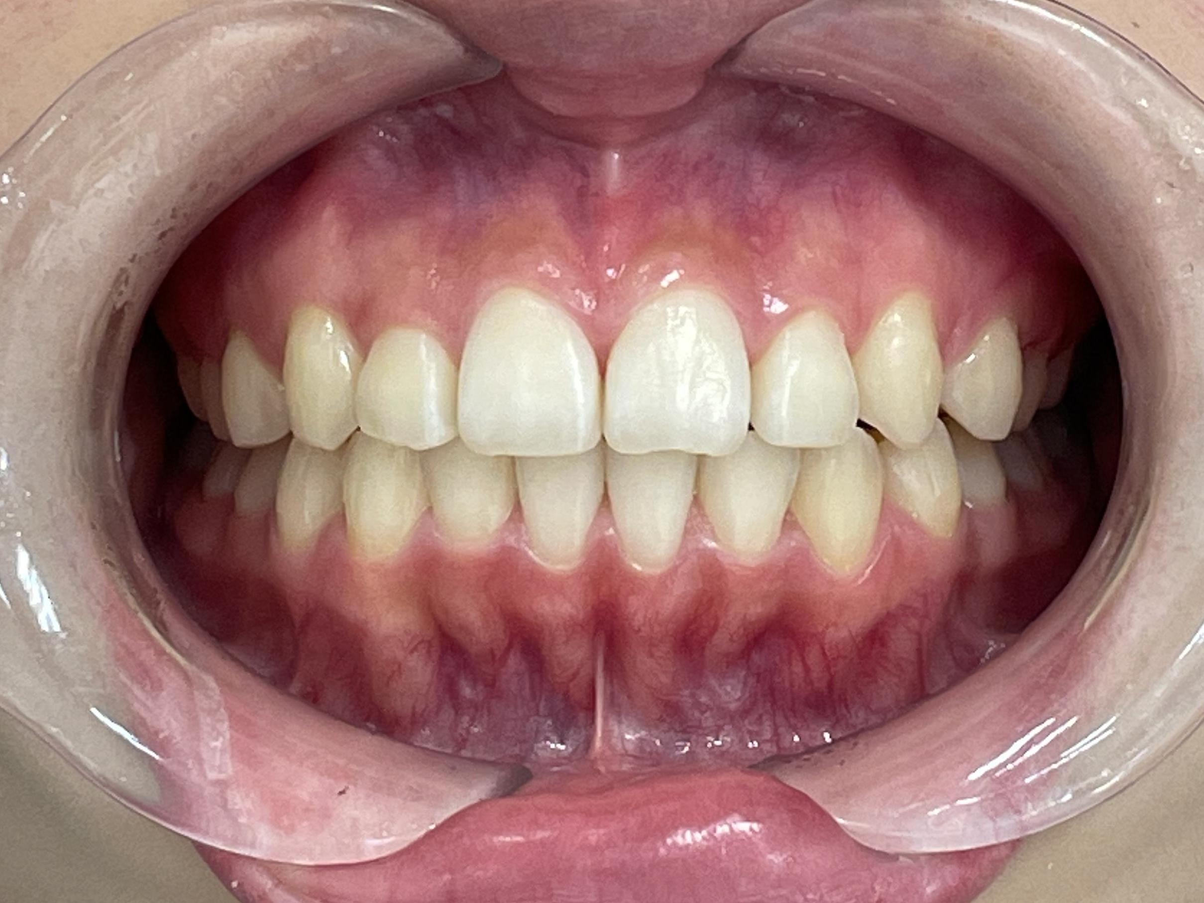
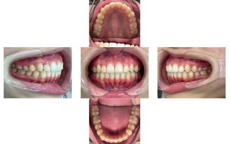
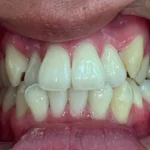
拝見したところ、歯が重なり合って生えている「叢生(そうせい)」が上下の前歯を中心に認められました。
歯並びの乱れによって噛み合わせが悪くなっており、前歯でしっかりと噛むことが難しい状態でした。
行ったご提案・治療内容
取り外し式のマウスピース型矯正装置「インビザラインフル」で前歯の叢生と噛み合わせを改善する治療をご提案しました。
全体の歯をしっかり動かせるインビザラインフルを用いることで、歯を抜かずに治療できることをご説明し、同意いただきました。
患者様専用のマウスピースを食事と歯磨きの時以外装着していただき、計画通りに歯が動いているかをしっかりと確認しながら治療を進めました。
術後の経過・現在のご様子
歯並びと噛み合わせが綺麗に整い、前歯で食べ物が噛み切れるようになりました。
患者様にも「食事がしやすくなって嬉しい」と大変ご満足いただきました。
現在は歯並びの後戻りを防ぐための「保定装置」をご使用いただき、定期的な健診でご来院いただいております。
この治療のリスクについて
・決められたアライナーの装着時間を守らないと、次のアライナーに交換できず、治療が遅れたり十分な効果が得られない場合があります。
・歯を抜いた後に矯正する場合や、あごの骨格に問題がある場合など、マウスピース矯正に対応していない症例は、治療が困難な可能性もあります。
・治療による歯の移動に伴って、痛みや違和感を感じる場合があります。
・他の矯正治療と同様に、正しく歯磨きやメンテナンスを行わないと虫歯や歯周病のリスクが高まります。
- 年齢・性別10代女性
- 診療種別自由診療
- 治療期間の目安1年
治療費総額の目安655,000円
- 治療期間の目安1年


※掲載された情報は治療の効果を保証するものではありません。
ご利用により万一何らかの損害が発生したとしても、当サイトは一切責任を負いかねますのでご了承ください。








