
20代女性「咬み込みが深くてうまく笑えない」上の歯が下の歯に覆いかぶさった「過蓋咬合」を、歯を抜かずにマウスピース型矯正装置「インビザラインフル」で正しい咬み合わせに改善した症例


ご相談内容
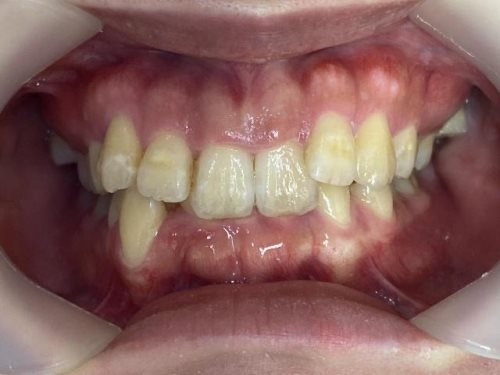
「咬み込みが深い。前歯の歯茎が見えすぎてうまく笑えない」と、ご相談いただきました。
カウンセリング・診断結果
拝見したところ、上の歯が下の歯に覆いかぶさって深く咬み込んでいる「過蓋咬合(かがいこうごう)」でした。
奥歯(第1大臼歯/6番)の咬み合わせで判断する「アングルの分類」では、上の歯が前方に出ていて、さらに内側に傾斜して生えている「アングルⅡ級2類」と診断しました。
また、全体的に歯が黄ばんでいて、口元が暗い印象でした。
行ったご提案・治療内容
過蓋咬合は、取り外し式のマウスピース型矯正装置「インビザラインフル」で治療する方法をご説明し、同意いただきました。
インビザラインフルは、抜歯をせず、前歯から奥歯まで全ての歯を動かすことができる装置です。
歯を正しい位置に並べることで、咬み合わせも改善することができます。
さらに、専用の薬剤を使って歯を白くする「ホワイトニング」も行いました。
術後の経過・現在のご様子
正しい位置に歯が並び、お口全体でしっかり咬めるようになりました。
歯の黄ばみも改善したことで口元が明るい印象になり、笑顔の印象が変わりました。
患者様にも「自信を持って笑えるようになって嬉しい」と、大変お喜びいただきました。
現在は定期検診でご来院いただき、経過を観察しています。
この治療のリスクについて
・決められたアライナーの装着時間を守らないと、次のアライナーに交換できず、治療が遅れたり十分な効果が得られない場合があります。
・歯を抜いた後に矯正する場合や、あごの骨格に問題がある場合など、マウスピース矯正に対応していない症例は、治療が困難な可能性もあります。
・治療による歯の移動に伴って、痛みや違和感を感じる場合があります。
・他の矯正治療と同様に、正しく歯磨きやメンテナンスを行わないと虫歯や歯周病のリスクが高まります。
- 年齢・性別20代女性
- 診療種別自由診療
- 治療期間の目安2年5ヶ月
治療費総額の目安715,000円
- 治療期間の目安2年5ヶ月


※掲載された情報は治療の効果を保証するものではありません。
ご利用により万一何らかの損害が発生したとしても、当サイトは一切責任を負いかねますのでご了承ください。








