
40代女性「右上の前歯が引っ込んでいる」内側に大きく入り込んだ前歯を、マウスピース型矯正装置「インビザラインGO」で治療し、自然な歯並びにした症例


ご相談内容
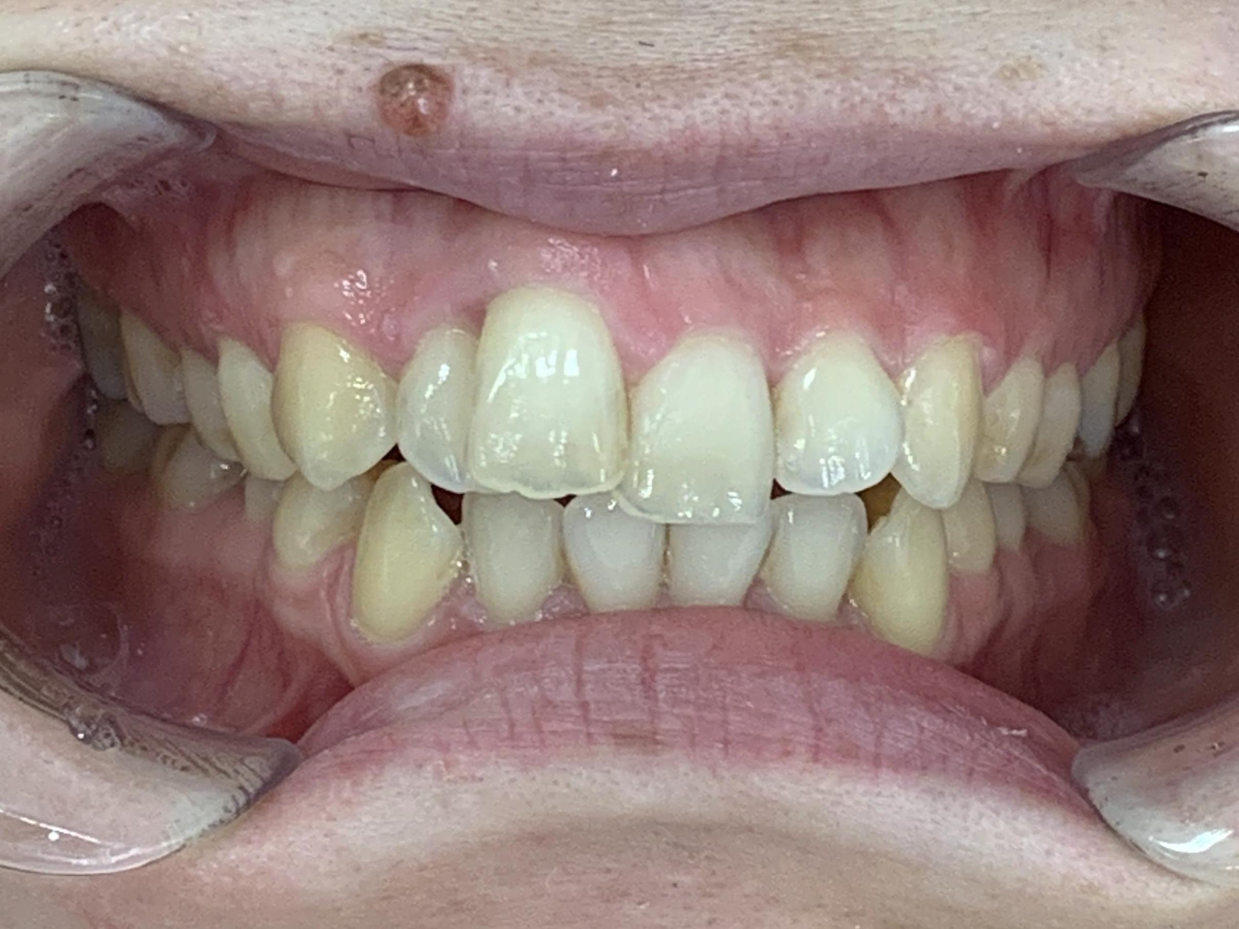
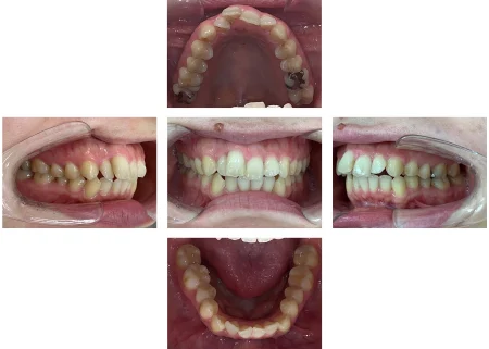
「右上の前歯が引っ込んでいるのが気になる」とご相談いただきました。
カウンセリング・診断結果
拝見したところ、右上の前歯(側切歯/2番)が内側に入り込んでいる「口蓋側転移(こうがいそくてんい)」が確認できました。
また、下の前歯に関しても、歯が捻じれてデコボコに並んでいる「叢生(そうせい)」が認められました。
患者様は「奥歯の噛み合わせは変えずに、前歯だけを治したい」とご希望でした。
行ったご提案・治療内容
前歯の治療に特化したマウスピース型矯正装置「インビザラインGO」で上下前歯の歯並びを改善する治療をご提案し、同意いただきました。
入り込んだ右上の前歯は大きく移動させる必要があったため、途中で1度マウスピースの追加を行い、治療計画通りに動いているかを丁寧に確認しながら治療を進めました。
術後の経過・現在のご様子
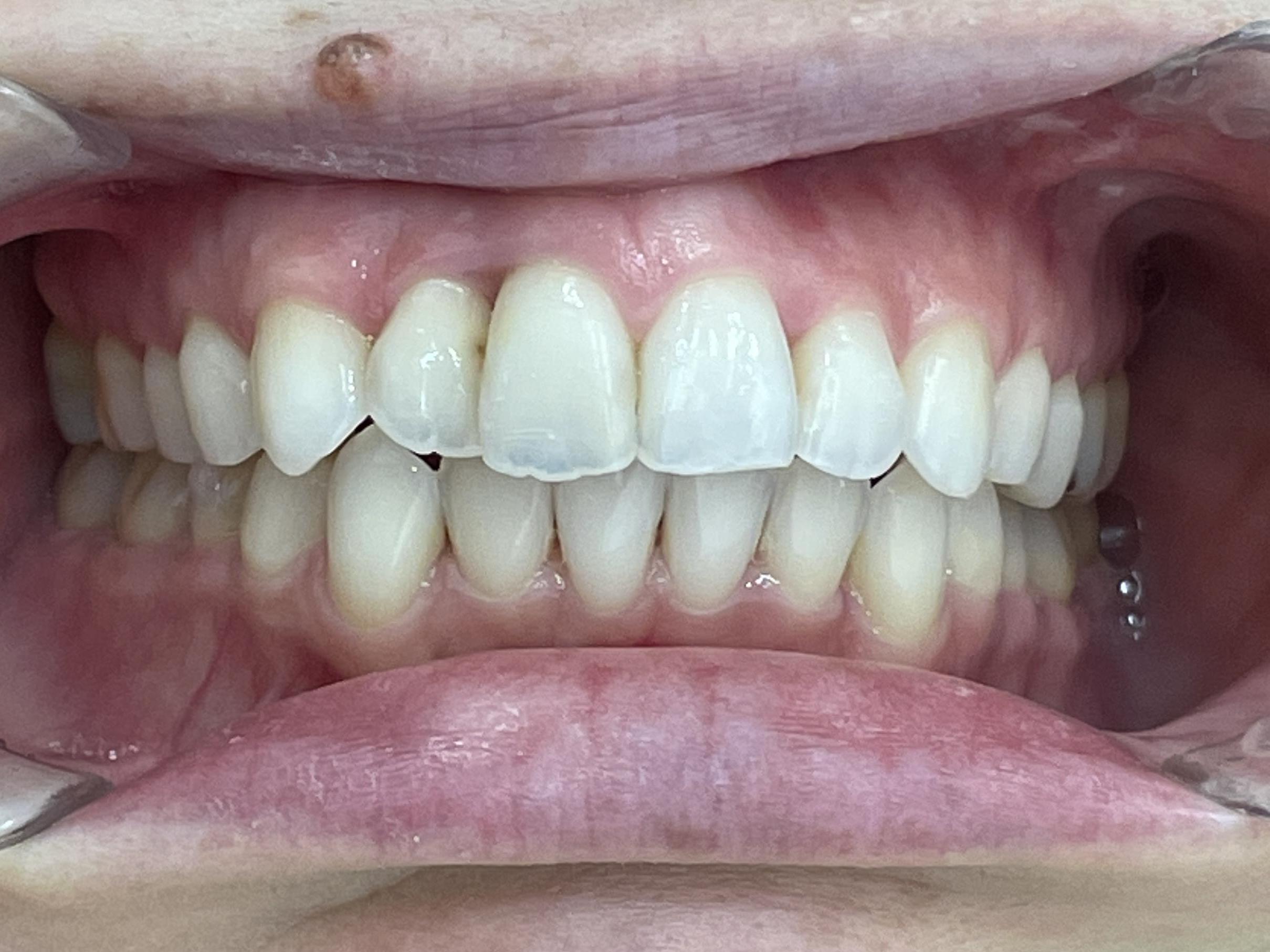
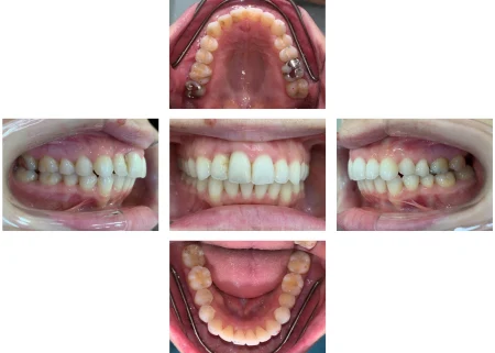
前歯が正常な位置に並び、笑ったときの口元も自然な見た目になりました。
患者様も「歯並びを気にせず過ごせるようになり嬉しい」と大変ご満足されていました。
現在も定期的なメンテナンスでご来院いただいています。
この治療のリスクについて
・決められたアライナーの装着時間を守らないと、次のアライナーに交換できず、治療が遅れたり十分な効果が得られない場合があります。
・歯を抜いた後に矯正する場合や、あごの骨格に問題がある場合など、マウスピース矯正に対応していない症例は、治療が困難な可能性もあります。
・治療による歯の移動に伴って、痛みや違和感を感じる場合があります。
・他の矯正治療と同様に、正しく歯磨きやメンテナンスを行わないと虫歯や歯周病のリスクが高まります。
- 年齢・性別40代女性
- 診療種別自由診療
- 治療期間の目安1年
治療費総額の目安440,000円
- 治療期間の目安1年


※掲載された情報は治療の効果を保証するものではありません。
ご利用により万一何らかの損害が発生したとしても、当サイトは一切責任を負いかねますのでご了承ください。








